Promotional price valid on web orders only. Your contract pricing may differ. Interested in signing up for a dedicated account number?
Learn More
Learn More
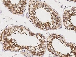
GDF-3 Rabbit anti-Human, Clone: 10, Novus Biologicals™

Rabbit Monoclonal Antibody
Supplier: Novus Biologicals NBP28922050UL
Description
GDF-3 Monoclonal specifically detects GDF-3 in Human samples. It is validated for Immunohistochemistry, Immunocytochemistry/Immunofluorescence, Immunohistochemistry-Paraffin.Specifications
GDF-3 | |
Monoclonal | |
Unconjugated | |
0.2 um filtered solution in PBS | |
Rabbit | |
Protein A purified | |
RUO | |
Primary | |
Human | |
Purified |
Immunohistochemistry, Immunofluorescence, Immunohistochemistry (Paraffin) | |
10 | |
Immunohistochemistry, Immunocytochemistry/Immunofluorescence 1:20-1:100, Immunohistochemistry-Paraffin 1:50-1:200 | |
GDF-3, growth differentiation factor 3, growth/differentiation factor 3, KFS3, MCOP7, MCOPCB6 | |
A synthetic peptide corresponding to the center region of the Human GDF-3 | |
50 μg | |
Cytokine Research, Stem Cell Markers | |
9573 | |
Store at 4°C short term. Aliquot and store at -20°C long term. Avoid freeze-thaw cycles. | |
IgG |
Product Content Correction
Your input is important to us. Please complete this form to provide feedback related to the content on this product.
Product Title
Spot an opportunity for improvement?Share a Content Correction