Promotional price valid on web orders only. Your contract pricing may differ. Interested in signing up for a dedicated account number?
Learn More
Learn More
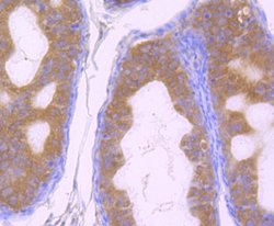
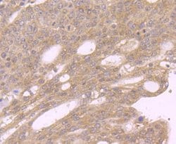
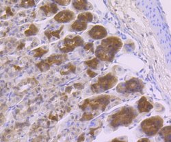
GOLPH3 Rabbit anti-Human, Mouse, Rat, Polyclonal, Novus Biologicals™

Rabbit Polyclonal Antibody
Supplier: Novus Biologicals NBP275515
Description
GOLPH3 Polyclonal specifically detects GOLPH3 in Human, Mouse, Rat samples. It is validated for Western Blot, Flow Cytometry, Immunocytochemistry/Immunofluorescence, Immunohistochemistry-Paraffin.Specifications
| GOLPH3 | |
| Polyclonal | |
| Unconjugated | |
| PBS (pH7.4), 0.2% BSA, 50% Glycerol with 0.05% Sodium Azide | |
| GOLPH3 | |
| Recombinant protein within C-terminal human GOLPH3. (SwissProt: Q9H4A6 Human; SwissProt: Q9CRA5 Mouse; SwissProt: Q9ERE4 Rat) | |
| Protein A purified | |
| Cancer | |
| 64083.0 | |
| Store at 4°C short term. Aliquot and store at -20°C long term. Avoid freeze-thaw cycles. | |
| IgG |
| Western Blot, Flow Cytometry, Immunohistochemistry, Immunocytochemistry, Immunofluorescence, Immunohistochemistry (Paraffin) | |
| 1 mg/mL | |
| Western Blot 1:100-1:2000, Flow Cytometry 1:10-1:1000, Immunohistochemistry 1:10 - 1:500, Immunocytochemistry/Immunofluorescence 1:10 - 1:500, Immunohistochemistry-Paraffin | |
| Coat protein GPP34, FLJ90675, Golgi phosphoprotein 3, golgi phosphoprotein 3 (coat-protein), golgi protein, golgi-associated protein, GOPP1, GPP34coat-protein, MIDASgolgi peripheral membrane protein 1, 34 kDa, Mitochondrial DNA absence factor | |
| Rabbit | |
| 34 kDa | |
| 100 μL | |
| Primary | |
| Human, Mouse, Rat | |
| Purified |
Product Content Correction
Your input is important to us. Please complete this form to provide feedback related to the content on this product.
Product Title
Spot an opportunity for improvement?Share a Content Correction