Promotional price valid on web orders only. Your contract pricing may differ. Interested in signing up for a dedicated account number?
Learn More
Learn More
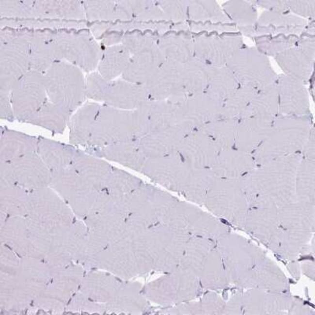
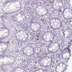
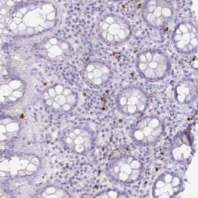
Granzyme K Antibody, Novus Biologicals™

Rabbit Polyclonal Antibody
Supplier: Novus Biologicals NBP24938725UL
Description
Granzyme K Polyclonal antibody specifically detects Granzyme K in Human samples. It is validated for Immunohistochemistry, Immunohistochemistry (Paraffin)Specifications
Granzyme K | |
Polyclonal | |
Immunohistochemistry 1:200 - 1:500, Immunohistochemistry-Paraffin 1:200-1:500 | |
EC 3.4.21, EC 3.4.21.-, EC 3.4.21.4, Fragmentin-3, granzyme 3, granzyme K, granzyme K (granzyme 3; tryptase II), granzyme K (serine protease, granzyme 3; tryptase II), Granzyme-3, NK-Tryp-2, NK-tryptase-2, PRSS, TRYP2granzyme-3, tryptase II | |
This antibody was developed against a recombinant protein corresponding to amino acids: KCKVTGWGATDPDSLRPSDTLREVTVTVLSRKLCNSQSYYNGDPFITKDMVCAGDAKGQKDS | |
25 μL | |
Apoptosis, Immunology | |
3003 | |
Store at 4°C short term. Aliquot and store at -20°C long term. Avoid freeze-thaw cycles. | |
IgG |
Immunohistochemistry, Immunohistochemistry (Paraffin) | |
Unconjugated | |
PBS (pH 7.2), 40% Glycerol | |
Rabbit | |
Immunogen affinity purified | |
RUO | |
Primary | |
Human | |
Purified |
Product Content Correction
Your input is important to us. Please complete this form to provide feedback related to the content on this product.
Product Title
Spot an opportunity for improvement?Share a Content Correction