Promotional price valid on web orders only. Your contract pricing may differ. Interested in signing up for a dedicated account number?
Learn More
Learn More
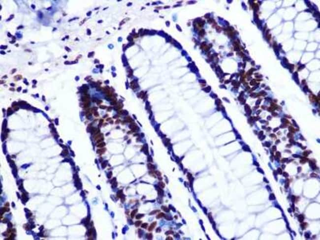
GTPBP4 Rabbit anti-Human, Clone: 7O5L6, Novus Biologicals™

Rabbit Monoclonal Antibody
Supplier: Novus Biologicals NBP31647620UL
This item is not returnable.
View return policy
Description
GTPBP4 Monoclonal antibody specifically detects GTPBP4 in Human samples. It is validated for Western Blot, Immunohistochemistry, Immunohistochemistry (Paraffin)Specifications
GTPBP4 | |
Monoclonal | |
Unconjugated | |
PBS, 0.05% BSA, 50% glycerol, pH7.3 | |
Rabbit | |
Affinity purified | |
RUO | |
Primary | |
Human | |
Purified |
Western Blot, Immunohistochemistry, Immunohistochemistry (Paraffin) | |
7O5L6 | |
Western Blot, Immunohistochemistry 1:50 - 1:200, Immunohistochemistry-Paraffin | |
Chronic renal failure gene protein, CRFGGTP-binding protein NGB, FLJ10686, FLJ10690, G protein-binding protein CRFG, GTP binding protein 4, NGB, NOG1FLJ39774, nucleolar GTP-binding protein 1 | |
Recombinant fusion protein containing a sequence corresponding to amino acids 2-92 of human GTPBP4 (Q9BZE4). | |
20 μg | |
Signal Transduction | |
23560 | |
Store at -20°C. Avoid freeze-thaw cycles. | |
IgG |
Product Content Correction
Your input is important to us. Please complete this form to provide feedback related to the content on this product.
Product Title
Spot an opportunity for improvement?Share a Content Correction