Promotional price valid on web orders only. Your contract pricing may differ. Interested in signing up for a dedicated account number?
Learn More
Learn More
H4/n Antibody (3E7D9) - BSA Free, Novus Biologicals™

Mouse Monoclonal Antibody
Supplier: Novus Biologicals NBP252487
Description
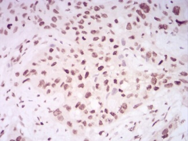
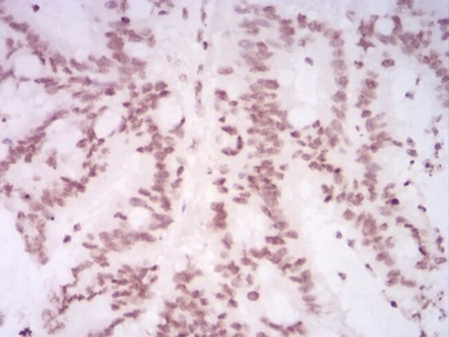
H4/n Monoclonal specifically detects H4/n in Human samples. It is validated for ELISA, Immunohistochemistry, Immunocytochemistry/Immunofluorescence, Immunohistochemistry-Paraffin, CyTOF-ready.Specifications
| H4/n | |
| Monoclonal | |
| 1 mg/mL | |
| ELISA 1:10000, Immunohistochemistry 1:200-1:1000, Immunocytochemistry/Immunofluorescence 1:200-1:1000, Immunohistochemistry-Paraffin 1:200-1:1000, CyTOF-ready | |
| FO108, H4, H4 histone family, member N, H4 histone, family 2, H4/A, H4/D, H4/E, H4/G, H4/H, H4/I, H4/J, H4/K, H4/M, H4/N, H4/O, H4F2H4/B, H4FA, H4FB, H4FC, H4FD, H4FE, H4FG, H4FH, H4FI, H4FJ, H4FK, H4FM, H4FNH4/C, H4FO, HIST1H4A, HIST1H4B, HIST1H4C, HIST1H4D, HIST1H4E, HIST1H4F, HIST1H4H, HIST1H4I, HIST1H4J, HIST1H4K, HIST1H4L, HIST2H4, HIST2H4B, HIST4H4, histone 2, H4, histone 2, H4a, histone cluster 2, H4a, histone H4, histone IV, family 2 | |
| Mouse | |
| 11.4 kDa | |
| 0.1 mg | |
| Primary | |
| Human | |
| Purified |
| ELISA, Immunohistochemistry, Immunocytochemistry, Immunofluorescence, Immunohistochemistry (Paraffin), CyTOF | |
| 3E7D9 | |
| Unconjugated | |
| PBS with 0.05% Sodium Azide | |
| HIST2H4A | |
| Synthesized peptide of human HIST2H4A ( AA: GGAKRHRK(Me)VLRDNIQ ) . | |
| Protein A or G purified | |
| RUO | |
| 8370 | |
| Store at 4C short term. Aliquot and store at -20C long term. Avoid freeze-thaw cycles. | |
| IgG1 |
Product Content Correction
Your input is important to us. Please complete this form to provide feedback related to the content on this product.
Product Title
Spot an opportunity for improvement?Share a Content Correction