Promotional price valid on web orders only. Your contract pricing may differ. Interested in signing up for a dedicated account number?
Learn More
Learn More
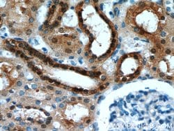
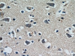
HDDC3 Rabbit anti-Human, Mouse, Rat, Polyclonal, Proteintech

Rabbit Polyclonal Antibody
Supplier: Proteintech Group Inc 210911AP150UL

Description
HDDC3 is involved in biological processes as a hydrolyzing enzyme in starvation response.Specifications
HDDC3 | |
Polyclonal | |
Unconjugated | |
HDDC3 | |
HD domain containing 3, HD domain containing protein 3, HDDC3 | |
Rabbit | |
Antigen Affinity Chromatography | |
RUO | |
308758, 374659, 68695 | |
-20°C | |
Liquid |
Immunohistochemistry (Paraffin), Immunoprecipitation, Western Blot | |
0.26 mg/mL | |
PBS with 50% glycerol and 0.02% sodium azide; pH 7.3 | |
Q8N4P3, Q9D114 | |
Hddc3 | |
HDDC3 Fusion Protein Ag15342 | |
150 μL | |
Primary | |
Human, Mouse, Rat | |
Antibody | |
IgG |
Product Content Correction
The Fisher Scientific Encompass Program offers items which are not part of our distribution portfolio. These products typically do not have pictures or detailed descriptions. However, we are committed to improving your shopping experience. Please use the form below to provide feedback related to the content on this product.
Product Title
Spot an opportunity for improvement?Share a Content Correction