Promotional price valid on web orders only. Your contract pricing may differ. Interested in signing up for a dedicated account number?
Learn More
Learn More
HLA-DR Rabbit anti-Human, Clone: 4Y9Y8, Novus Biologicals™

Rabbit Monoclonal Antibody
Supplier: Novus Biologicals NBP315337100UL
This item is not returnable.
View return policy
Description
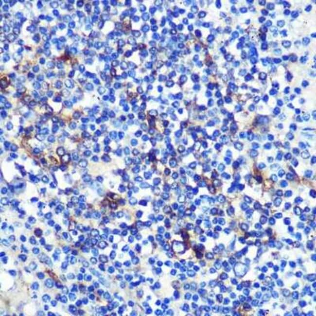
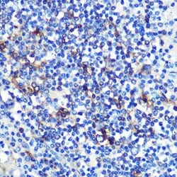
HLA-DR Monoclonal antibody specifically detects HLA-DR in Human samples. It is validated for Western Blot, Immunohistochemistry, Immunohistochemistry (Paraffin)Specifications
HLA-DR | |
Monoclonal | |
Unconjugated | |
PBS, 0.05% BSA, 50% glycerol, pH7.3 | |
Rabbit | |
Affinity purified | |
RUO | |
Primary | |
Human | |
Purified |
Western Blot, Immunohistochemistry, Immunohistochemistry (Paraffin) | |
4Y9Y8 | |
Western Blot 1:500 - 1:2000, Immunohistochemistry 1:50 - 1:200, Immunohistochemistry-Paraffin | |
FLJ51114, histocompatibility antigen HLA-DR alpha, HLA class II histocompatibility antigen, DR alpha chain, HLA-DRA1, major histocompatibility complex, class II, DR alpha, MHC cell surface glycoprotein, MHC class II antigen DRA, MLRW | |
A synthetic peptide corresponding to a sequence within amino acids 100-200 of human HLA-DR (P01903). KRSNYTPITNVPPEVTVLTNSPVELREPNVLICFIDKFTPPVVNVTWLRNGKPVTTGVSETVFLPREDHLFRKFHYLPFLPSTEDVYDCRVEHWGLDEPLL | |
100 μg | |
Adaptive Immunity, B Cell Development and Differentiation Markers, Cell Biology, Cellular Markers, Diabetes Research, Immunology, Major Histocompatibility Complexes | |
3122 | |
Store at -20°C. Avoid freeze-thaw cycles. | |
IgG |
Product Content Correction
Your input is important to us. Please complete this form to provide feedback related to the content on this product.
Product Title
Spot an opportunity for improvement?Share a Content Correction