Promotional price valid on web orders only. Your contract pricing may differ. Interested in signing up for a dedicated account number?
Learn More
Learn More
HNF-3 alpha/FoxA1 Antibody, Novus Biologicals™

Rabbit Polyclonal Antibody
Supplier: Novus Biologicals NBP238628
Description
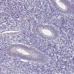
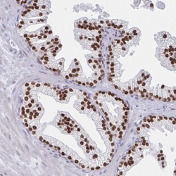
HNF-3 alpha/FoxA1 Polyclonal specifically detects HNF-3 alpha/FoxA1 in Human samples. It is validated for Immunohistochemistry, Immunocytochemistry/Immunofluorescence, Immunohistochemistry-Paraffin.Specifications
HNF-3 alpha/FoxA1 | |
Polyclonal | |
Immunohistochemistry 1:500 - 1:1000, Immunocytochemistry/Immunofluorescence 1 - 4 ug/ml, Immunohistochemistry-Paraffin 1:500 - 1:1000 | |
P55317 | |
FOXA1 | |
This antibody was developed against a recombinant protein corresponding to amino acids: QTLDHSGATATGGASELKTPASSTAPPISSGPGALASVPASHPAHGLAPHESQLHLKGDPHYSFNHP | |
0.1 mL | |
Breast Cancer, Cancer, Stem Cell Markers | |
3169 | |
Human | |
IgG |
Immunohistochemistry, Immunocytochemistry, Immunofluorescence, Immunohistochemistry (Paraffin) | |
Unconjugated | |
PBS (pH 7.2) and 40% Glycerol with 0.02% Sodium Azide | |
forkhead box A1, Forkhead box protein A1, hepatocyte nuclear factor 3, alpha, hepatocyte nuclear factor 3-alpha, HNF-3A, HNF-3-alpha, HNF3ATCF-3A, MGC33105, TCF3A, Transcription factor 3A | |
Rabbit | |
Affinity Purified | |
RUO | |
Primary | |
Specificity of antibody verified on a Protein Array containing target protein plus 383 other non-specific proteins. | |
Store at 4C short term. Aliquot and store at -20C long term. Avoid freeze-thaw cycles. |
Product Content Correction
Your input is important to us. Please complete this form to provide feedback related to the content on this product.
Product Title
Spot an opportunity for improvement?Share a Content Correction