Promotional price valid on web orders only. Your contract pricing may differ. Interested in signing up for a dedicated account number?
Learn More

hnRNP-K Rabbit anti-Human, Mouse, Polyclonal, Bethyl Laboratories

Catalog No. 501558181
Encompass_Preferred
Change view
Click to view available options
Quantity:
100 μL
1 product options available for selection
Product selection table with 1 available options. Use arrow keys to navigate and Enter or Space to select.
Catalog No. Quantity
50-155-8181 100 μL
Use arrow keys to navigate between rows. Press Enter or Space to select a product option. 1 options available.
1 options
Catalog No. 50-155-8181 Supplier Bethyl Laboratories, Inc Supplier No. A300674A
Only null left
Add to Cart
Add to Cart

Rabbit Polyclonal Antibody

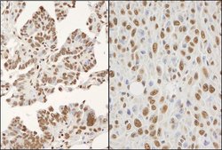
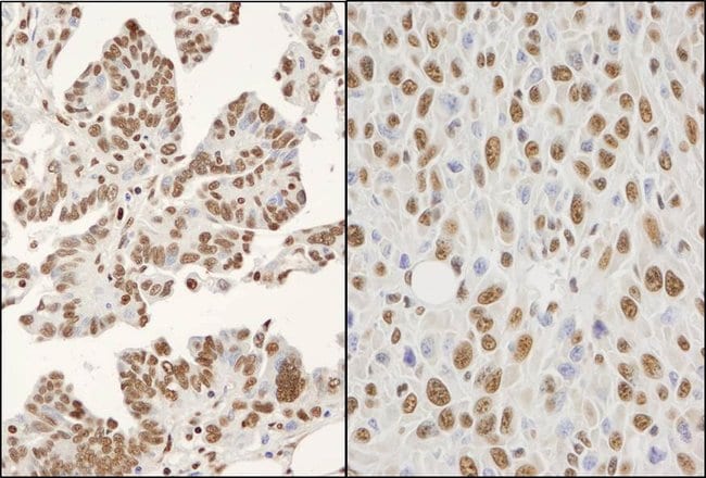
The recommended shelf life for this product is 1 year from date of receipt. Application Note: For IHC, epitope retrieval with citrate buffer pH 6.0 is recommended for FFPE tissue sections. Based on 100% sequence identity, this antibody is predicted to react with Rat, Bovine, Rabbit and Orangutan

One of the major pre-mRNA-binding proteins. Binds tenaciously to poly(C) sequences. Likely to play a role in the nuclear metabolism of hnRNAs, particularly for pre-mRNAs that contain cytidine-rich sequences. Can also bind poly(C) single-stranded DNA. Plays an important role in p53/TP53 response to DNA damage, acting at the level of both transcription activation and repression. When sumoylated, acts as a transcriptional coactivator of p53/TP53, playing a role in p21/CDKN1A and 14-3-3 sigma/SFN induction By similarity. As far as transcription repression is concerned, acts by interacting with long intergenic RNA p21 (lincRNA-p21), a non-coding RNA induced by p53/TP53. This interaction is necessary for the induction of apoptosis, but not cell cycle arrest.

Specifications

Antigen hnRNP-K
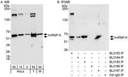
Applications Immunohistochemistry, Immunoprecipitation, Western Blot
Classification Polyclonal
Concentration 0.2 mg/ml
Conjugate Unconjugated
Formulation TBS with 0.1% BSA and 0.09% sodium azide
Gene HNRNPK
Gene Accession No. P61978, P61979
Gene Alias CSBP, TUNP, dC-stretch binding protein
Gene Symbols HNRNPK
Host Species Rabbit
Immunogen Between 1 and 50
Purification Method Antigen affinity chromatography
Quantity 100 μL
Regulatory Status RUO
Primary or Secondary Primary
Gene ID (Entrez) 15387, 3190
Target Species Human, Mouse
Content And Storage 4° C
Product Type Antibody
Form Liquid
Isotype IgG
Show More Show Less
Product Title
Select an issue

By clicking Submit, you acknowledge that you may be contacted by Fisher Scientific in regards to the feedback you have provided in this form. We will not share your information for any other purposes. All contact information provided shall also be maintained in accordance with our Privacy Policy.