Promotional price valid on web orders only. Your contract pricing may differ. Interested in signing up for a dedicated account number?
Learn More
Learn More
hnRNP-Q Rabbit anti-Human, Mouse, Rat, Clone: 1R0G5, Novus Biologicals™

Rabbit Monoclonal Antibody
Supplier: Novus Biologicals NBP31683820UL
This item is not returnable.
View return policy
Description
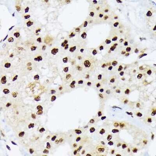
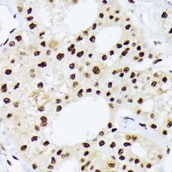
hnRNP-Q Monoclonal antibody specifically detects hnRNP-Q in Human, Mouse, Rat samples. It is validated for Western Blot, Immunohistochemistry, Immunofluorescence, Immunohistochemistry (Paraffin)Specifications
| hnRNP-Q | |
| Monoclonal | |
| Unconjugated | |
| PBS, 0.05% BSA, 50% glycerol, pH7.3 | |
| Rabbit | |
| Affinity purified | |
| RUO | |
| 10492 | |
| Store at -20°C. Avoid freeze-thaw cycles. | |
| IgG |
| Western Blot, Immunohistochemistry, Immunofluorescence, Immunohistochemistry (Paraffin) | |
| 1R0G5 | |
| Western Blot, Immunohistochemistry 1:50 - 1:200, Immunocytochemistry/Immunofluorescence, Immunohistochemistry-Paraffin | |
| dJ3J17.2, Glycine- and tyrosine-rich RNA-binding protein, GRYRBP, GRY-RBPNS1-associated protein 1, heterogeneous nuclear ribonucleoprotein Q, hnRNP Q, hnRNP-Q, HNRPQ, HNRPQ1, NSAP1FLJ31626, PP68, synaptotagmin binding, cytoplasmic RNA interacting protein, Synaptotagmin-binding, cytoplasmic RNA-interacting protein | |
| A synthetic peptide corresponding to a sequence within amino acids 524-623 of human hnRNP-Q (O60506). | |
| 20 μg | |
| Primary | |
| Human, Mouse, Rat | |
| Purified |
Product Content Correction
Your input is important to us. Please complete this form to provide feedback related to the content on this product.
Product Title
Spot an opportunity for improvement?Share a Content Correction