Promotional price valid on web orders only. Your contract pricing may differ. Interested in signing up for a dedicated account number?
Learn More
Learn More
HOXA9 Rabbit anti-Human, Rat, Clone: 9X1L6, Novus Biologicals™

Rabbit Monoclonal Antibody
Supplier: Novus Biologicals NBP31572020UL
This item is not returnable.
View return policy
Description
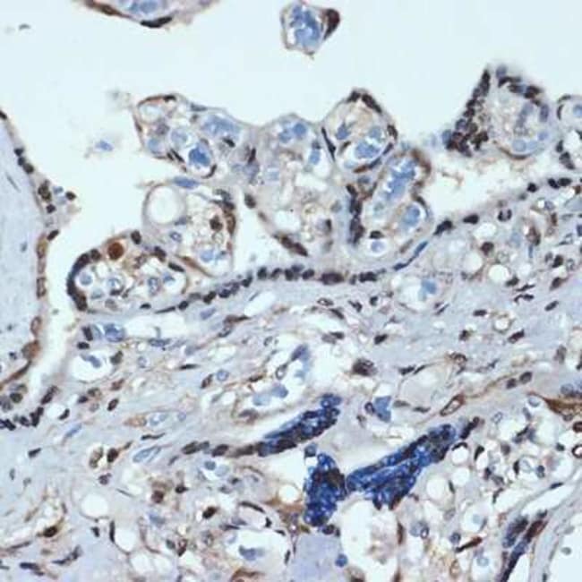
HOXA9 Monoclonal antibody specifically detects HOXA9 in Human, Rat samples. It is validated for Western Blot, Immunohistochemistry, Immunohistochemistry (Paraffin)Specifications
HOXA9 | |
Monoclonal | |
Unconjugated | |
PBS, 0.05% BSA, 50% glycerol, pH7.3 | |
Rabbit | |
Affinity purified | |
RUO | |
Primary | |
Human, Rat | |
Purified |
Western Blot, Immunohistochemistry, Immunohistochemistry (Paraffin) | |
9X1L6 | |
Western Blot 1:500 - 1:2000, Immunohistochemistry 1:50 - 1:200, Immunohistochemistry-Paraffin | |
ABD-B, homeo box A9, homeobox A9, Homeobox protein Hox-1G, homeobox protein Hox-A9, homeobox protein HOXA9, homeodomain protein HOXA9, HOX1, HOX1.7, HOX1GMGC1934 | |
A synthetic peptide corresponding to a sequence within amino acids 173-272 of human HOXA9 (P31269). GAFSENNAENESGGDKPPIDPNNPAANWLHARSTRKKRCPYTKHQTLELEKEFLFNMYLTRDRRYEVARLLNLTERQVKIWFQNRRMKMKKINKDRAKDE | |
20 μg | |
Cancer | |
3205 | |
Store at -20°C. Avoid freeze-thaw cycles. | |
IgG |
Product Content Correction
Your input is important to us. Please complete this form to provide feedback related to the content on this product.
Product Title
Spot an opportunity for improvement?Share a Content Correction