Promotional price valid on web orders only. Your contract pricing may differ. Interested in signing up for a dedicated account number?
Learn More
Learn More
HSP60 Mouse, Clone: SPM253, Novus Biologicals™

Mouse Monoclonal Antibody
Supplier: Novus Biologicals NBP2328660.02MG
Description
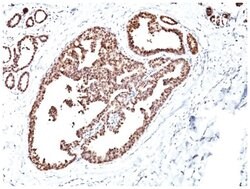
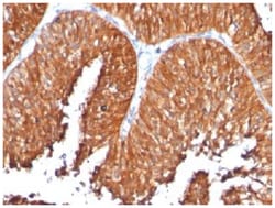
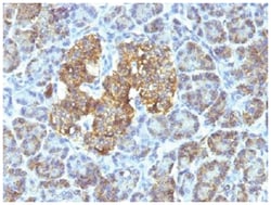
HSP60 Monoclonal specifically detects HSP60 in Human, Mouse, Rat, Porcine, Bovine, Canine, Chicken, Drosophila, Hamster, Monkey, Rabbit, Sheep, Xenopus samples. It is validated for Western Blot, Flow Cytometry, Immunohistochemistry, Immunocytochemistry/Immunofluorescence, Immunohistochemistry-Paraffin.Specifications
HSP60 | |
Monoclonal | |
Unconjugated | |
PBS with 0.05% BSA. with 0.05% Sodium Azide | |
60 kDa chaperonin, Chaperonin 60, CPN60, GROEL, heat shock 60kD protein 1 (chaperonin), heat shock 60kDa protein 1 (chaperonin), Heat shock protein 60, heat shock protein 65, HLD4, Hsp60, HSP-60, HSP60SPG13, HSP65, HuCHA60, Mitochondrial matrix protein P1,60 kDa heat shock protein, mitochondrial, P60 lymphocyte protein, short heat shock protein 60 Hsp60s1, spastic paraplegia 13 (autosomal dominant) | |
Mouse | |
60 kDa | |
0.02 mg | |
Apoptosis, Cellular Markers, Membrane Trafficking and Chaperones, Mitochondrial Markers | |
3329 | |
Human, Mouse, Rat, Pig, Bovine, Canine, Chicken, Drosophila, Hamster, Primate, Rabbit, Sheep, Xenopus species | |
Purified |
Western Blot, Flow Cytometry, Immunocytochemistry, Immunofluorescence, Immunohistochemistry (Paraffin) | |
SPM253 | |
Western Blot 0.25-0.5ug/ml, Flow Cytometry 0.5-1ug/million cells, Immunocytochemistry/Immunofluorescence 0.5-1ug/ml, Immunohistochemistry-Paraffin 0.5-1.0ug/ml | |
P10809 | |
HSPD1 | |
Recombinant human HSP60 protein | |
Protein A purified | |
RUO | |
Primary | |
Recognizes a 60kDa protein, identified as the heat shock protein 60 (hsp60). Its epitope is localized between aa 383-447 of human hsp60. A wide variety of environmental and pathophysiological stressful conditions trigger the synthesis of a family of proteins known as heat shock proteins (hsps), more appropriately called as stress response proteins (srps). hsp60 is a potential antigen in a number of autoimmune diseases. In human arthritis and in experimentally induced arthritis in animals, disease development coincides with the development of immune reactivity directed against not only bacterial hsp60, but also against its mammalian homolog. | |
Store at 4C. | |
IgG1 κ |
Product Content Correction
Your input is important to us. Please complete this form to provide feedback related to the content on this product.
Product Title
Spot an opportunity for improvement?Share a Content Correction