Promotional price valid on web orders only. Your contract pricing may differ. Interested in signing up for a dedicated account number?
Learn More
Learn More
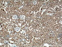
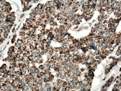
IDH2 Rabbit anti-Human, Mouse, Rat, Polyclonal, Proteintech

Rabbit Polyclonal Antibody
Supplier: Proteintech Group Inc 159321AP150UL

Description
Plays a role in intermediary metabolism and energy production. It may tightly associate or interact with the pyruvate dehydrogenase complex.Specifications
IDH2 | |
Polyclonal | |
Unconjugated | |
IDH2 | |
ICD M, IDH, IDH2, IDHM, IDP, IDPM, mNADP IDH, NADP(+) specific ICDH, Oxalosuccinate decarboxylase | |
Rabbit | |
Antigen Affinity Chromatography | |
RUO | |
269951, 3418, 361596 | |
-20°C | |
Liquid |
Immunohistochemistry (Paraffin), Immunoprecipitation, Western Blot | |
0.13 mg/mL | |
PBS with 50% glycerol and 0.02% sodium azide; pH 7.3 | |
P48735, P54071, P56574 | |
IDH2 | |
IDH2 Fusion Protein Ag8779 | |
150 μL | |
Primary | |
Human, Mouse, Rat | |
Antibody | |
IgG |
Product Content Correction
The Fisher Scientific Encompass Program offers items which are not part of our distribution portfolio. These products typically do not have pictures or detailed descriptions. However, we are committed to improving your shopping experience. Please use the form below to provide feedback related to the content on this product.
Product Title
Spot an opportunity for improvement?Share a Content Correction