Promotional price valid on web orders only. Your contract pricing may differ. Interested in signing up for a dedicated account number?
Learn More
Learn More
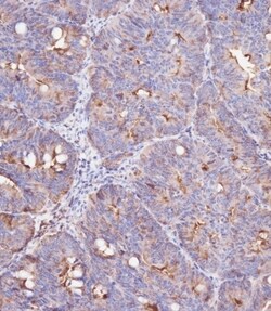
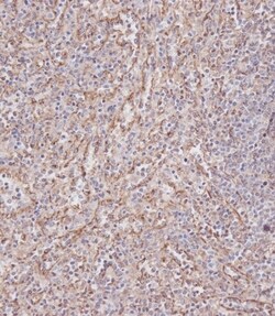
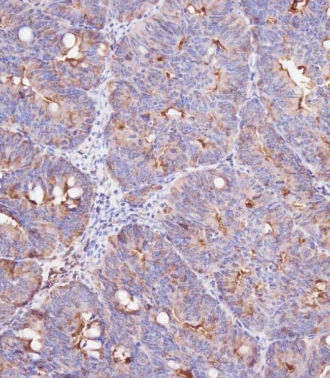
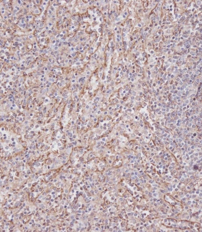
Invitrogen™ IFITM3 Polyclonal Antibody

Rabbit Polyclonal Antibody
Supplier: Invitrogen™ PA511274
Description
IFITM3 Polyclonal Antibody for Western Blot, ICC/IF, IHC (P)
IFITM3 (interferon induced transmembrane protein 3), also known as 1-8U or IP15, is a multi-pass membrane protein that belongs to the IFITM (interferon inducible transmembrane) family of proteins. IFITM proteins are induced by type I and type II interferons and contain multiple interferon (IFN)-stimulated response elements (ISREs) in their promoter regions. IFITM proteins play important roles in many cellular processes and their expression requires the presence of the chromatin remodeling SWI/SNF-like BAF complexes. Cellular processes involving IFITM proteins include cellular anti-proliferative activities and homotypic cell adhesion functions of interferons. In addition, IFITM genes are often upregulated in various cancer cells, suggesting a possible role in carcinogenesis. Localizing to the membrane, IFITM3 is a 133 amino acid protein that is induced by IFN-alpha and IFN-gamma. IFITM3 expression can be regulated by TEF-1, Brg-1 and Sp1.
Specifications
IFITM3 | |
Polyclonal | |
Unconjugated | |
IFITM3 | |
1110004C05Rik; 1-8U; Cd225; Cdw217; Dispanin subfamily A member 2b; DSPA2b; Fgls; Fragilis; Fragilis 3; Fragilis protein; Ifitm3; ifitm-like protein 1; interferon induced transmembrane protein 3; interferon-induced transmembrane protein 3; interferon-inducible protein 15; Interferon-inducible protein 1-8U; interferon-inducible protein variant 10; IP15; mil-1; Mouse ifitm-like protein 1; rat8 | |
Rabbit | |
Affinity chromatography, Antigen affinity chromatography, Protein A | |
RUO | |
10410, 66141 | |
Store at 4°C short term. For long term storage, store at -20°C, avoiding freeze/thaw cycles. | |
Liquid |
Immunohistochemistry (Paraffin), Western Blot, Immunocytochemistry | |
0.47 mg/mL | |
PBS with 0.09% sodium azide; pH 7.4 | |
Q01628, Q9CQW9 | |
IFITM3 | |
KLH conjugated synthetic peptide between 1-30 amino acids from the N-terminal region of human Interferon-inducible protein (IFITM3). | |
400 μL | |
Primary | |
Human, Mouse, Rat | |
Antibody | |
IgG |
Product Content Correction
Your input is important to us. Please complete this form to provide feedback related to the content on this product.
Product Title
Spot an opportunity for improvement?Share a Content Correction