Promotional price valid on web orders only. Your contract pricing may differ. Interested in signing up for a dedicated account number?
Learn More
Learn More
IGFBP-5 Antibody (MM0344-8D21) - Azide and BSA Free, Novus Biologicals™

Mouse Monoclonal Antibody
Supplier: Novus Biologicals NBP2123660.025MG
Description
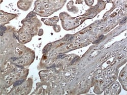
IGFBP-5 Monoclonal specifically detects IGFBP-5 in Human samples. It is validated for Western Blot, Immunohistochemistry, Immunohistochemistry-Paraffin.Specifications
| IGFBP-5 | |
| Monoclonal | |
| LYOPH | |
| Western Blot 1:500-2000, Immunohistochemistry, Immunohistochemistry-Paraffin 1:20-200 | |
| P24593 | |
| IGFBP5 | |
| Human IGFBP5 | |
| 0.025 mg | |
| Primary | |
| Reconstitute with 0.2 ml sterilized PBS to a final concentration of 0.5 mg/ml. | |
| Store at 4C short term. Aliquot and store at -20C long term. Avoid freeze-thaw cycles. | |
| IgG1 |
| Immunohistochemistry (Paraffin), Immunohistochemistry, Western Blot | |
| MM0344-8D21 | |
| Unconjugated | |
| A 0.2 um filtered solution in PBS with No Preservative | |
| IBP5IBP-5, IGF-binding protein 5, IGFBP-5, insulin-like growth factor binding protein 5, insulin-like growth factor-binding protein 5 | |
| Mouse | |
| Protein G purified | |
| RUO | |
| 3488 | |
| Human | |
| Purified |
Product Content Correction
Your input is important to us. Please complete this form to provide feedback related to the content on this product.
Product Title
For Research Use Only
Spot an opportunity for improvement?Share a Content Correction