Promotional price valid on web orders only. Your contract pricing may differ. Interested in signing up for a dedicated account number?
Learn More
Learn More
IkB-alpha, p Ser32, p Ser36 Antibody, Novus Biologicals™

Rabbit Polyclonal Antibody
Supplier: Novus Biologicals NB100819870.025ML
Description
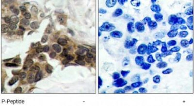
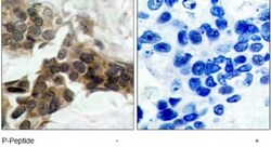
IkB-alpha Polyclonal specifically detects IkB-alpha in Human, Mouse samples. It is validated for Western Blot, Immunohistochemistry, Immunocytochemistry/Immunofluorescence, Immunohistochemistry-Paraffin.Specifications
| IkB-alpha (p Ser32, p Ser36) | |
| Polyclonal | |
| Unconjugated | |
| phosphate buffered saline (without Mg2+ and Ca2+), pH 7.4, 150mM NaCl, and 50% glycerol. with 0.02% Sodium Azide | |
| alpha, I-kappa-B-alpha, IkappaBalphaNF-kappa-B inhibitor alpha, IKBAikB-alpha, IkB-alpha, MAD3, MAD-3, Major histocompatibility complex enhancer-binding protein MAD3, NFKBI, nuclear factor of kappa light chain gene enhancer in B-cells, nuclear factor of kappa light polypeptide gene enhancer in B-cells inhibitor | |
| Rabbit | |
| 39 kDa | |
| 0.025 mL | |
| Apoptosis, Diabetes Research, Phospho Specific | |
| 4792 | |
| Human, Mouse | |
| IgG |
| Western Blot, Immunohistochemistry (Paraffin), Immunofluorescence, Immunocytochemistry, Immunohistochemistry | |
| 1.0 mg/mL | |
| Western Blot 1:500-1:1000, Immunohistochemistry 1:50-1:100, Immunocytochemistry/Immunofluorescence 1:100-1:200, Immunohistochemistry-Paraffin 1:50-1:100 | |
| P25963 | |
| NFKBIA | |
| The antiserum was produced against synthesized phosphopeptide derived from human IkB-alpha. around the phosphorylation site of serine 32/36 (H-D-SP-G-L-D-SP -M-K). | |
| Affinity Purified | |
| RUO | |
| Primary | |
| IkB-alpha. (specific to Phospho-Ser32/Ser36) detects endogenous levels of IkB-alpha only when phosphorylated at serine 32/36. | |
| Store at 4C short term. Aliquot and store at -20C long term. Avoid freeze-thaw cycles. |
Product Content Correction
Your input is important to us. Please complete this form to provide feedback related to the content on this product.
Product Title
For Research Use Only
Spot an opportunity for improvement?Share a Content Correction