Promotional price valid on web orders only. Your contract pricing may differ. Interested in signing up for a dedicated account number?
Learn More
Learn More
KCMF1 Antibody, Novus Biologicals™

Rabbit Polyclonal Antibody
Supplier: Novus Biologicals NBP184283
Description
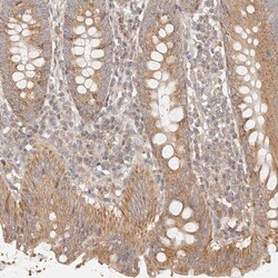
KCMF1 Polyclonal specifically detects KCMF1 in Human samples. It is validated for Western Blot, Immunohistochemistry, Immunocytochemistry/Immunofluorescence, Immunohistochemistry-Paraffin.Specifications
| KCMF1 | |
| Polyclonal | |
| Western Blot 0.04-0.4 μg/mL, Immunohistochemistry 1:200 - 1:500, Immunocytochemistry/Immunofluorescence 0.25-2 μg/mL, Immunohistochemistry-Paraffin 1:200 - 1:500 | |
| DEBT91, DKFZp434L1021, EC 6.3.2, EC 6.3.2.-, FGF-induced in gastric cancer, FGF-induced ubiquitin-protein ligase in gastric cancers, FIGC, PCMFdifferentially expressed in branching tubulogenesis 91, Potassium channel modulatory factor, potassium channel modulatory factor 1, zinc finger, ZZ domain containing 1, ZZ-type zinc finger-containing protein 1, ZZZ1E3 ubiquitin-protein ligase KCMF1 | |
| Rabbit | |
| Affinity Purified | |
| RUO | |
| 56888 | |
| Human | |
| IgG |
| Western Blot, Immunohistochemistry, Immunocytochemistry, Immunofluorescence, Immunohistochemistry (Paraffin) | |
| Unconjugated | |
| PBS (pH 7.2) and 40% Glycerol with 0.02% Sodium Azide | |
| KCMF1 | |
| This antibody was developed against Recombinant Protein corresponding to amino acids:MSETERQSMESERADRSLFVQELLLSTLVREESSSSDEDDRGEMADFGAMGCVDIMPLDVALENLNLKESNKGNEPPPPPL | |
| 0.1 mL | |
| Primary | |
| Specificity of antibody verified on a Protein Array containing target protein plus 383 other non-specific proteins. | |
| Store at 4C short term. Aliquot and store at -20C long term. Avoid freeze-thaw cycles. |
Product Content Correction
Your input is important to us. Please complete this form to provide feedback related to the content on this product.
Product Title
For Research Use Only
Spot an opportunity for improvement?Share a Content Correction