Promotional price valid on web orders only. Your contract pricing may differ. Interested in signing up for a dedicated account number?
Learn More
Learn More
KIF2A Rabbit anti-Canine, Human, Mouse, Rat, Polyclonal, Proteintech

Rabbit Polyclonal Antibody
Supplier: Proteintech Group Inc 131051AP150UL
Description
Kif2a gene ontology annotations related to this gene include microtubule-based movement.Specifications
| KIF2A | |
| Polyclonal | |
| Unconjugated | |
| KIF2A | |
| HK2, KIF2, KIF2A, Kinesin 2, kinesin heavy chain member 2A, Kinesin like protein KIF2A, KNS2 | |
| Rabbit | |
| Antigen Affinity Chromatography | |
| RUO | |
| 16563, 3796, 478071, 84391 | |
| -20°C | |
| Liquid |
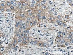
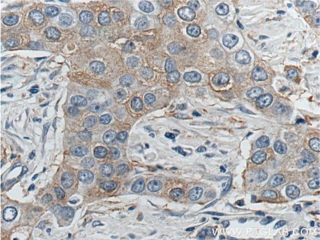
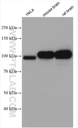
| Immunocytochemistry, Immunofluorescence, Immunohistochemistry (Paraffin), Immunoprecipitation, Western Blot | |
| 0.21 mg/mL | |
| PBS with 50% glycerol and 0.1% sodium azide; pH 7.3 | |
| O00139, P28740, Q9WV63 | |
| Kif2a | |
| KIF2A Fusion Protein Ag3748 | |
| 150 μL | |
| Primary | |
| Canine, Human, Mouse, Rat | |
| Antibody | |
| IgG |
Product Content Correction
The Fisher Scientific Encompass Program offers items which are not part of our distribution portfolio. These products typically do not have pictures or detailed descriptions. However, we are committed to improving your shopping experience. Please use the form below to provide feedback related to the content on this product.
Product Title
Spot an opportunity for improvement?Share a Content Correction