Learn More
KLHDC3 Rabbit anti-Human, Mouse, Rat, Polyclonal, Proteintech

Rabbit Polyclonal Antibody
Supplier: Proteintech Group Inc 139051AP150UL
Description
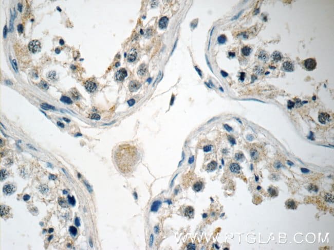
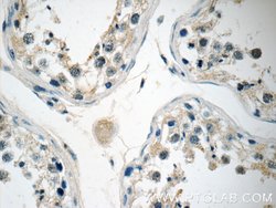
This antibody specifically reacts with the 55 kDa KLHDC3 protein.
The BTB (Broad-Complex, Tramtrack and Bric a brac) domain, also known as the POZ (Poxvirus and Zinc finger) domain, is an N-terminal homodimerization domain that contains multiple copies of kelch repeats and/or C2H2-type zinc fingers. Proteins that contain BTB domains are thought to be involved in transcriptional regulation via control of chromatin structure and function. The Kelch domain-containing protein 3 (KLHDC3), also designated PEAS, contains 5 Kelch repeats and may be involved in meiotic recombination process. The gene encoding KLHDC3 maps to chromosome 6, which contains around 1, 200 genes within 170 million base pairs of sequence. Deletion of a portion of the q arm of chromosome 6 is associated with early onset intestinal cancer suggesting the presence of a cancer susceptibility locus. Porphyria cutanea tarda, Parkinson′s disease, Stickler syndrome, 21-hydroxylase deficiency and maple syrup urine disease are also associated with genes on chromosome 6. KLHDC3 protein is mainly expressed in cytoplasm, also found in meiotic chromatin.Specifications
| KLHDC3 | |
| Polyclonal | |
| Unconjugated | |
| KLHDC3 | |
| hPEAS, kelch domain containing 3, KLHDC3, PEAS, Protein Peas, RP1 20C7.3 | |
| Rabbit | |
| Antigen Affinity Chromatography | |
| RUO | |
| 116138, 363192, 71765 | |
| -20°C | |
| Liquid |
| Immunocytochemistry, Immunofluorescence, Immunohistochemistry (Paraffin), Western Blot | |
| 0.52 mg/mL | |
| PBS with 50% glycerol and 0.1% sodium azide; pH 7.3 | |
| Q6AYI2, Q8VEM9, Q9BQ90 | |
| Klhdc3 | |
| KLHDC3 Fusion Protein Ag4879 | |
| 150 μL | |
| Primary | |
| Human, Mouse, Rat | |
| Antibody | |
| IgG |
The Fisher Scientific Encompass Program offers items which are not part of our distribution portfolio. These products typically do not have pictures or detailed descriptions. However, we are committed to improving your shopping experience. Please use the form below to provide feedback related to the content on this product.