Promotional price valid on web orders only. Your contract pricing may differ. Interested in signing up for a dedicated account number?
Learn More

Epredia™ Lab Vision™ S100 Rabbit Polyclonal Antibody with BSA and azide

Employ one marker in a comprehensive antibody portfolio that addresses all major disease states with the Epredia™ S100, Rabbit Polyclonal Antibody.

Specifications

Antigen S100
Applications Immunohistochemistry (Paraffin)
Classification Polyclonal
Conjugate Unconjugated
Host Species Rabbit
View More Specs

Products 3
Catalog Number Mfr. No. Form Quantity Price Quantity & Availability  
Catalog Number Mfr. No. Form Quantity Price Quantity & Availability  
RB9018P
View Documents
Epredia™
RB9018P
Concentrated 1 mL N/A N/A N/A
RB9018R1
View Documents
Epredia™
RB9018R1
Prediluted 1 mL N/A N/A N/A
RB9018RQ
View Documents
Epredia™
RB9018RQ
Ready-to-Use 12 mL N/A N/A N/A
Description

Description

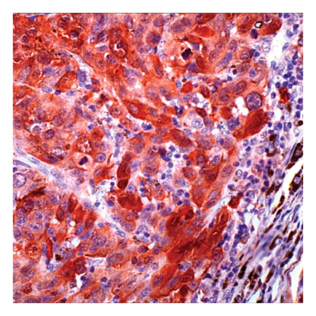
S100 belongs to the family of calcium binding proteins such as calmodulin and troponin C. S100A is composed of an α and β chain whereas S100B is composed of two β chains. Antibody to S100 stains Schwannomas, ependymomas, astrogliomas, almost all benign and malignant melanomas and their metastases. S100 protein is also expressed in the antigen presenting cells such as the Langerhans cells in skin and interdigitating reticulum cells in the paracortex of lymph nodes.

Host Species: Rabbit

Isotype: IgG

Species Reactivity: Human. Others not tested.

Epitope: Not determined

Immunogen: Recombinant protein encoding human S100 protein

Molecular Weight: 21-24kDa

Positive Control: Melanoma or Schwannoma

Cellular Localization: Cytoplasmic

Recommended for:

  • Immunohistochemistry (Formalin/paraffin)
Specifications

Specifications

S100
Polyclonal
Rabbit
Cancer and Tumor Biology
Primary
Immunohistochemistry (Paraffin)
Unconjugated
IVD
Recombinant protein encoding human S100 protein
Videos
SDS
Documents

Documents

Product Certifications
Product Content Correction

Your input is important to us. Please complete this form to provide feedback related to the content on this product.

Product Title

By clicking Submit, you acknowledge that you may be contacted by Fisher Scientific in regards to the feedback you have provided in this form. We will not share your information for any other purposes. All contact information provided shall also be maintained in accordance with our Privacy Policy.

Your feedback has been submitted: Thank you for helping us improve our website.