Promotional price valid on web orders only. Your contract pricing may differ. Interested in signing up for a dedicated account number?
Learn More
Learn More
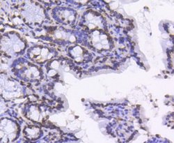
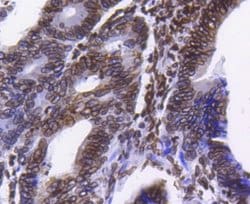
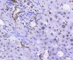
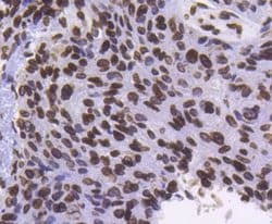
LaminB1 Rabbit anti-Human, Clone: SI17-06, Novus Biologicals™

Rabbit Monoclonal Antibody
Supplier: Novus Biologicals NBP267405
Description
Lamin B1 Monoclonal specifically detects Lamin B1 in Human, Mouse, Rat samples. It is validated for Western Blot, Immunohistochemistry, Immunocytochemistry/Immunofluorescence, Immunoprecipitation, Immunohistochemistry-Paraffin.Specifications
| LaminB1 | |
| Monoclonal | |
| 1 mg/mL | |
| Western Blot 1:500-1:1000, Immunohistochemistry, Immunocytochemistry/Immunofluorescence 1:50-1:200, Immunoprecipitation, Immunohistochemistry-Paraffin 1:100-1:500 | |
| ADLD, lamin B1, lamin-B1, LMN, LMN2, LMNB, MGC111419 | |
| Rabbit | |
| Protein A purified | |
| Apoptosis, Cancer, Core ESC Like Genes, Loading Controls, Phospho Specific, Stem Cell Markers, Tumor Suppressors | |
| 4001 | |
| Store at 4°C short term. Aliquot and store at -20°C long term. Avoid freeze-thaw cycles. | |
| IgG |
| Western Blot, Immunohistochemistry, Immunocytochemistry, Immunofluorescence, Immunoprecipitation, Immunohistochemistry (Paraffin) | |
| SI17-06 | |
| Unconjugated | |
| TBS (pH7.4), 0.05% BSA, 40% Glycerol with 0.05% Sodium Azide | |
| LMNB1 | |
| Synthetic peptide within Human Lamin B1 aa 511-560/ 586. (SwissProt: P20700 Human; SwissProt: P14733 Mouse; SwissProt: P70615 Rat) | |
| 100 μL | |
| Primary | |
| Human, Mouse, Rat | |
| Purified |
Product Content Correction
Your input is important to us. Please complete this form to provide feedback related to the content on this product.
Product Title
Spot an opportunity for improvement?Share a Content Correction