Promotional price valid on web orders only. Your contract pricing may differ. Interested in signing up for a dedicated account number?
Learn More

Invitrogen™ LPS Monoclonal Antibody (C8)

Catalog No. PIMA543542
Change view
Click to view available options
Quantity:
20 μL
200 μL
2 product options available for selection
Product selection table with 2 available options. Use arrow keys to navigate and Enter or Space to select.
Catalog No. Quantity
PIMA543542 20 μL
PIMA541632 200 μL
Use arrow keys to navigate between rows. Press Enter or Space to select a product option. 2 options available.
2 options
This item is not returnable. View return policy
Catalog No. PIMA543542 Supplier Invitrogen™ Supplier No. MA543542
Only null left
Add to Cart
Add to Cart
This item is not returnable. View return policy

Mouse Monoclonal Antibody

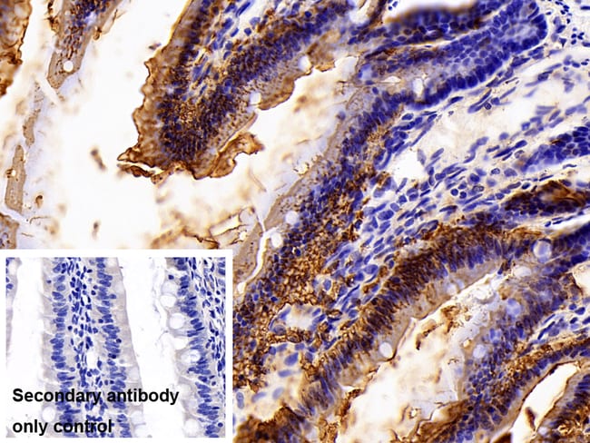
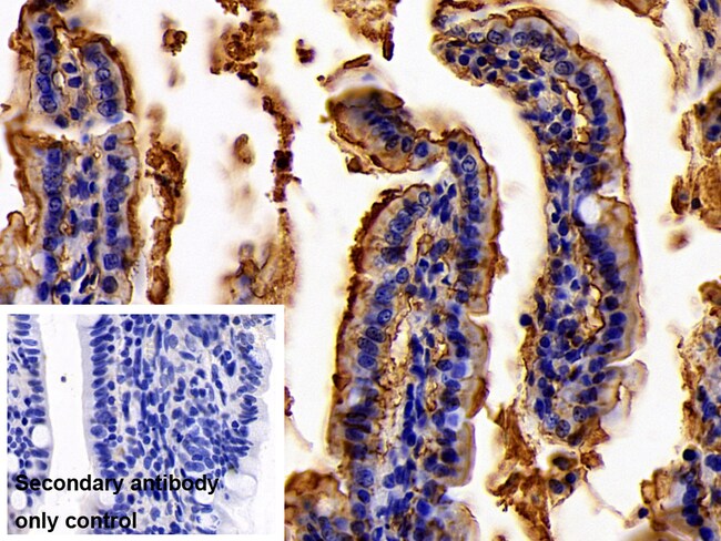
LPS Monoclonal Antibody for Western Blot, IHC (P)

Lipopolysaccharide (LPS) is a large molecule found in the outer membrane of Gram-negative bacteria, serving as a potent endotoxin. Structurally, LPS is composed of three regions: the lipid A, core oligosaccharide, and O antigen polysaccharide. Lipid A, consisting of a phosphorylated glucosamine disaccharide with fatty acids, anchors LPS within the bacterial membrane and is largely responsible for its toxic effects. The core oligosaccharide links lipid A to the O antigen, which varies significantly among bacterial species and contributes to antigenic diversity. Functionally, LPS plays a crucial role in protecting bacteria from hostile environmental conditions while serving as a major factor in eliciting strong immune responses in host organisms. Once released into the bloodstream following bacterial cell lysis or infection, LPS activates immune cells by binding to Toll-like receptor 4 (TLR4), leading to the production of pro-inflammatory cytokines. This interaction can result in septic shock, characterized by widespread inflammation and cardiovascular collapse. Hence, understanding the biology and effects of LPS is critical for developing strategies to combat bacterial infections and manage sepsis.
TRUSTED_SUSTAINABILITY

Specifications

Antigen LPS
Applications Immunohistochemistry (Paraffin), Western Blot, Western Blot
Classification Monoclonal
Clone C8
Concentration 1 mg/mL
Conjugate Unconjugated
Formulation PBS with 50% glycerol and 0.05% ProClin 300; pH 7.4
Gene Alias LPS
Host Species Mouse
Immunogen Recombinant protein Lipopolysaccharide.
Purification Method Protein A/G
Quantity 20 μL
Regulatory Status RUO
Primary or Secondary Primary
Target Species Chemical
Content And Storage Store at 4°C short term. For long term storage, store at -20°C, avoiding freeze/thaw cycles.
Product Type Antibody
Form Liquid
Isotype IgG2b κ
Target Molecule Chemical
Show More Show Less
WARNING: Cancer - www.P65Warnings.ca.gov
Product Title
Select an issue

By clicking Submit, you acknowledge that you may be contacted by Fisher Scientific in regards to the feedback you have provided in this form. We will not share your information for any other purposes. All contact information provided shall also be maintained in accordance with our Privacy Policy.