Promotional price valid on web orders only. Your contract pricing may differ. Interested in signing up for a dedicated account number?
Learn More
Learn More
LRG1 Mouse anti-Human, Clone: LRG1/4882, Novus Biologicals™

Mouse Monoclonal Antibody
Supplier: Novus Biologicals NBP31385120UG
This item is not returnable.
View return policy
Description
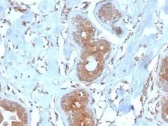
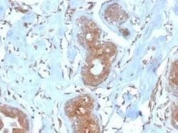
LRG1 Monoclonal antibody specifically detects LRG1 in Human samples. It is validated for Immunohistochemistry (Paraffin), Protein ArraySpecifications
| LRG1 | |
| Monoclonal | |
| 0.2 mg/ml | |
| Immunohistochemistry-Paraffin 1-2 ug/ml, Protein Array | |
| P02750 | |
| Mouse | |
| Protein A or G purified | |
| RUO | |
| Primary | |
| Human | |
| Purified |
| Immunohistochemistry (Paraffin), Peptide Array | |
| LRG1/4882 | |
| Unconjugated | |
| 10 mM PBS with 0.05% BSA | |
| 1300008B03Rik, 2310031E04Rik, HMFT1766, leucine-rich alpha-2-glycoprotein, leucine-rich alpha-2-glycoprotein 1, LRGleucine rich alpha 2 glycoprotein | |
| Recombinant fragment (around aa 30-180) of human LRG1 protein (exact sequence is proprietary) (Uniprot: P02750) | |
| 20 μg | |
| Cancer | |
| 116844 | |
| Store at 4°C. | |
| IgG2b κ |
Product Content Correction
Your input is important to us. Please complete this form to provide feedback related to the content on this product.
Product Title
Spot an opportunity for improvement?Share a Content Correction