Promotional price valid on web orders only. Your contract pricing may differ. Interested in signing up for a dedicated account number?
Learn More

MAP7 Rabbit anti-Human, Polyclonal, Bethyl Laboratories

Rabbit Polyclonal Antibody

Supplier:  Bethyl Laboratories, Inc A301490A

Encompass_Preferred

Catalog No. 50-156-0523


May include imposed supplier surcharges.
Only null left
Add to Cart

Description

Description

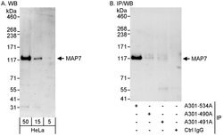
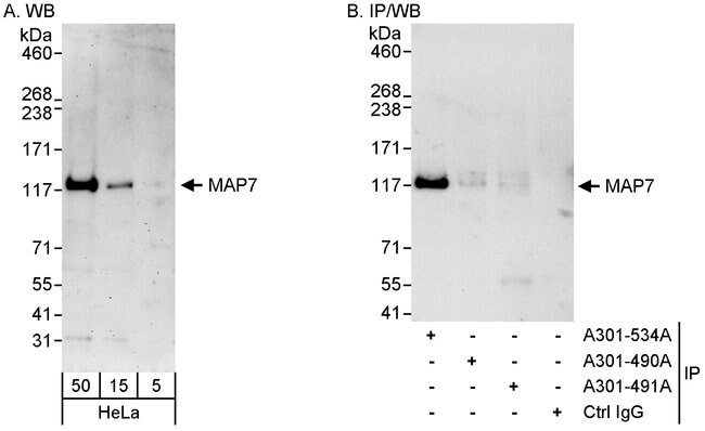
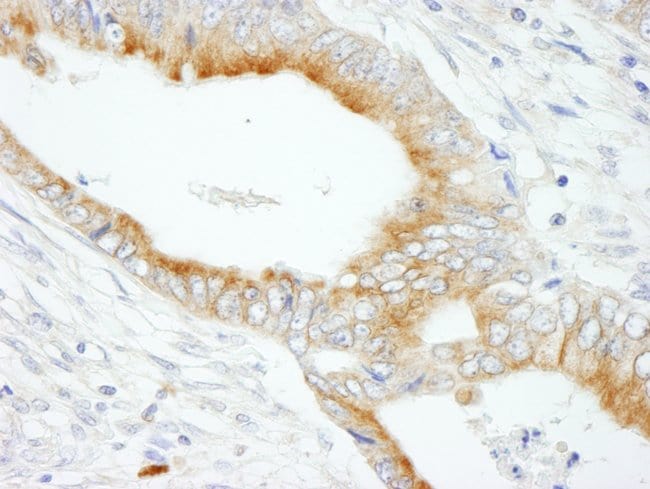
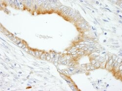
The recommended shelf life for this product is 1 year from date of receipt. Application Note: For IHC, epitope retrieval with citrate buffer pH 6.0 is recommended for FFPE tissue sections.

The product of this gene is a microtubule-associated protein that is predomitly expressed in cells of epithelial origin. Microtubule-associated proteins are thought to be involved in microtubule dynamics, which is essential for cell polarization and differentiation. This protein has been shown to be able to stabilize microtubules, and may serve to modulate microtubule functions. Studies of the related mouse protein also suggested an essential role in microtubule function required for spermatogenesis.
Specifications

Specifications

MAP7
Polyclonal
Unconjugated
MAP7
E-MAP-115, EMAP115, MAP-7, dJ325F22.2 (microtubule-associated protein 7 (EMAP115, E-MAP-115)), ensconsin, epithelial microtubule-associated protein of 115 kDa
Rabbit
Antigen affinity chromatography
RUO
9053
4° C
Liquid
Immunohistochemistry, Western Blot
0.2 mg/ml
TBS with 0.1% BSA and 0.09% sodium azide
Q14244
MAP7
Between 690 and 720
100 μL
Primary
Human
Antibody
IgG
Product Suggestions

Product Suggestions

Videos
SDS
Documents

Documents

Product Certifications
Promotions

Promotions

Product Content Correction

The Fisher Scientific Encompass Program offers items which are not part of our distribution portfolio. These products typically do not have pictures or detailed descriptions. However, we are committed to improving your shopping experience. Please use the form below to provide feedback related to the content on this product.

Product Title

By clicking Submit, you acknowledge that you may be contacted by Fisher Scientific in regards to the feedback you have provided in this form. We will not share your information for any other purposes. All contact information provided shall also be maintained in accordance with our Privacy Policy.

Your feedback has been submitted: Thank you for helping us improve our website.