Promotional price valid on web orders only. Your contract pricing may differ. Interested in signing up for a dedicated account number?
Learn More
Learn More
MRP1 Rabbit anti-Human, Mouse, Rat, Clone: 3W1Y4, Novus Biologicals™

Rabbit Monoclonal Antibody
Supplier: Novus Biologicals NBP316096100UL
This item is not returnable.
View return policy
Description
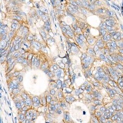
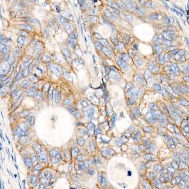
MRP1 Monoclonal antibody specifically detects MRP1 in Human, Mouse, Rat samples. It is validated for Western Blot, Immunohistochemistry, Immunohistochemistry (Paraffin)Specifications
MRP1 | |
Monoclonal | |
Unconjugated | |
PBS, 0.05% BSA, 50% glycerol, pH7.3 | |
Rabbit | |
Affinity purified | |
RUO | |
Primary | |
Human, Mouse, Rat | |
Purified |
Western Blot, Immunohistochemistry, Immunohistochemistry (Paraffin) | |
3W1Y4 | |
Western Blot 1:500 - 1:2000, Immunohistochemistry 1:50 - 1:200, Immunohistochemistry-Paraffin | |
ABC29, ABCC, ATP-binding cassette sub-family C member 1, ATP-binding cassette, sub-family C (CFTR/MRP), member 1, EC 3.6.3, EC 3.6.3.44, GS-X, Leukotriene C(4) transporter, LTC4 transporter, MRP1DKFZp781G125, MRPDKFZp686N04233, multidrug resistance associated protein 1, multidrug resistance protein, multidrug resistance-associated protein 1, multiple drug resistance protein 1, multiple drug resistance-associated protein | |
Recombinant fusion protein containing a sequence corresponding to amino acids 210-304 of human MRP1 (NP_004987.2). | |
100 μg | |
ABC Transporters, Amino Acids Drugs and other small molecules, Cancer, Lipid and Metabolism, Plasma Membrane Markers, Signal Transduction | |
4363 | |
Store at -20°C. Avoid freeze-thaw cycles. | |
IgG |
Product Content Correction
Your input is important to us. Please complete this form to provide feedback related to the content on this product.
Product Title
Spot an opportunity for improvement?Share a Content Correction