Promotional price valid on web orders only. Your contract pricing may differ. Interested in signing up for a dedicated account number?
Learn More
Learn More
MYST1 Rabbit anti-Human, Mouse, Clone: 6U5Z6, Novus Biologicals™

Rabbit Monoclonal Antibody
Supplier: Novus Biologicals NBP316178100UL
Description
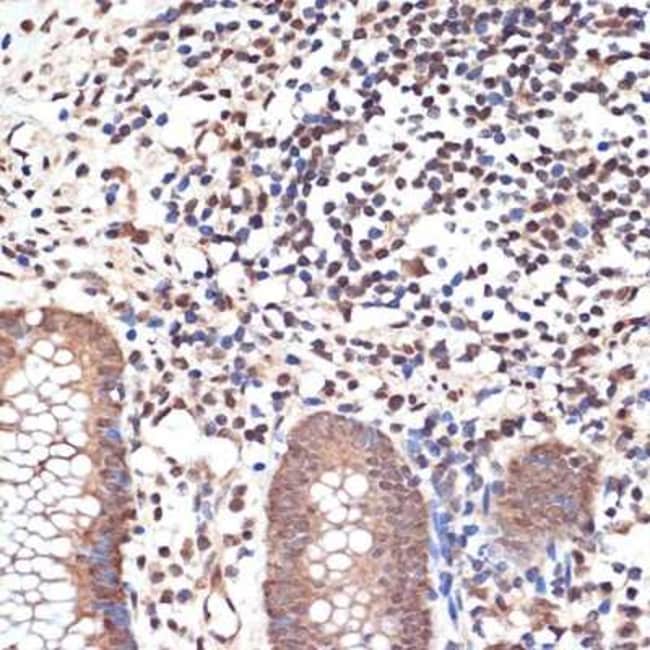
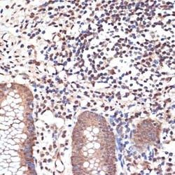
MYST1 Monoclonal antibody specifically detects MYST1 in Human, Mouse samples. It is validated for Western Blot, Immunohistochemistry, Immunofluorescence, Immunohistochemistry (Paraffin)Specifications
MYST1 | |
Monoclonal | |
Unconjugated | |
PBS, 0.05% BSA, 50% glycerol, pH7.3 | |
Rabbit | |
Affinity purified | |
RUO | |
Primary | |
Human, Mouse | |
Purified |
Western Blot, Immunohistochemistry, Immunofluorescence, Immunohistochemistry (Paraffin) | |
6U5Z6 | |
Western Blot, Immunohistochemistry 1:50 - 1:200, Immunocytochemistry/Immunofluorescence, Immunohistochemistry-Paraffin | |
FLJ14040, hMOFhistone acetyltransferase MYST1, KAT8, MOFEC 2.3.1.48, MOZ, YBF2/SAS3, SAS2 and TIP60 protein 1, MYST histone acetyltransferase 1, MYST-1, ortholog of Drosophila males absent on the first (MOF), probable histone acetyltransferase MYST1 | |
Recombinant fusion protein containing a sequence corresponding to amino acids 350-458 of human MYST1 (Q9H7Z6). | |
100 μg | |
Chromatin Research, DNA Repair | |
84148 | |
Store at -20°C. Avoid freeze-thaw cycles. | |
IgG |
Product Content Correction
Your input is important to us. Please complete this form to provide feedback related to the content on this product.
Product Title
Spot an opportunity for improvement?Share a Content Correction