Promotional price valid on web orders only. Your contract pricing may differ. Interested in signing up for a dedicated account number?
Learn More

NAT10 Antibody, Novus Biologicals™
SDP

Rabbit Polyclonal Antibody

Supplier:  Novus Biologicals NBP232263

Catalog No. NBP232263


Only null left
Add to Cart

Description

Description

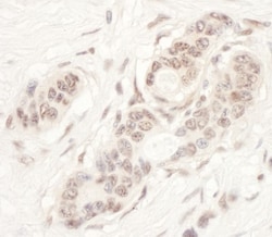
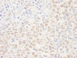
NAT10 Polyclonal specifically detects NAT10 in Human, Mouse samples. It is validated for Western Blot, Immunohistochemistry, Immunoprecipitation.
Specifications

Specifications

NAT10
Polyclonal
Unconjugated
Tris-Citrate/Phosphate (pH 7.0 - 8.0) with 0.09% Sodium Azide
ALP, DKFZp434C116, EC 2.3.1.-, FLJ10774, FLJ12179, FLJ23850, hALP, KIAA1709, N-acetyltransferase 10, N-acetyltransferase 10 (GCN5-related), N-acetyltransferase-like protein, NET43
Rabbit
Affinity Purified
RUO
55226
Store at 4C. Do not freeze.
Western Blot, Immunohistochemistry, Immunoprecipitation
1.0 mg/mL
Western Blot 1:10000 - 1:25000, Immunohistochemistry, Immunoprecipitation 2 - 10 ug/mg lysate
NP_078938.2
NAT10
The immunogen this antibody was made to, maps to a region between residue 650 to 700 of human N-acetyltransferase 10 using the numbering given in entry NP_078938.2 (GeneID 55226).
100 μL
Primary
Human, Mouse
IgG
Product Suggestions

Product Suggestions

Videos
SDS
Documents

Documents

Product Certifications
Promotions

Promotions

Product Content Correction

Your input is important to us. Please complete this form to provide feedback related to the content on this product.

Product Title

By clicking Submit, you acknowledge that you may be contacted by Fisher Scientific in regards to the feedback you have provided in this form. We will not share your information for any other purposes. All contact information provided shall also be maintained in accordance with our Privacy Policy.

Your feedback has been submitted: Thank you for helping us improve our website.

For Research Use Only