Promotional price valid on web orders only. Your contract pricing may differ. Interested in signing up for a dedicated account number?
Learn More
Learn More
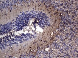
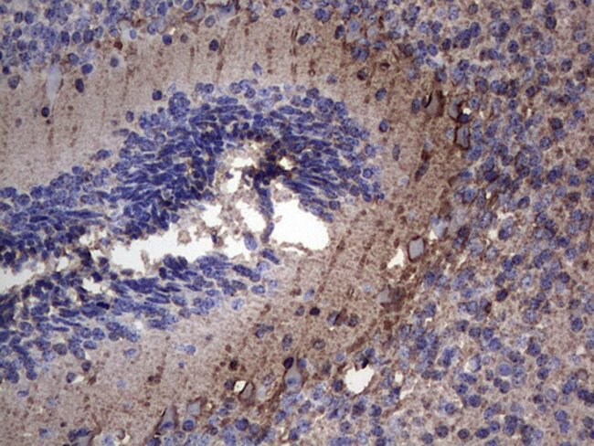
NCAM1 Monoclonal Antibody (OTI2C3), TrueMAB™, OriGene

Mouse Monoclonal Antibody
Supplier: OriGene TA804953
Description
CD56 (NCAM, neural cell adhesion molecule) is a transmembrane glycoprotein of the immunoglobulin family that serves as an adhesive molecule and is ubiquitously expressed in the nervous system in isoforms ranging from 120-180 kDa. CD56 is found on T cells and NK cells, and is involved in cell migration, axonal growth, pathfinding and synaptic plasticity. Polysialic modification results in reduction of CD56-mediated cell adhesion. Through its extracellular region, CD56 mediates homophilic and heterophilic interactions by binding extracellular matrix components such as laminin and integrins. CD56 is expressed on most neuroectodermal derived cell lines, tissues and neoplasms such as retinoblastoma, medulloblastoma, astrocytomas and neuroblastoma. Further, CD56 is a widely used neuroendocrine marker with a high sensitivity for neuroendocrine tumors and ovarian granulosa cell tumors. Diseases associated with CD56 dysfunction include rabies and blastic plasmacytoid dendritic cell neoplasms.Specifications
| NCAM1 | |
| Monoclonal | |
| 1 mg/mL | |
| PBS with 1% BSA, 50% glycerol and 0.02% sodium azide | |
| P13591 | |
| NCAM1 | |
| Human recombit protein fragment corresponding to amino acids 20-718 of human NCAM1 produced in HEK293T cell. | |
| 100 μL | |
| Primary | |
| Human | |
| Antibody | |
| IgG1 |
| Immunohistochemistry (Paraffin), Western Blot | |
| OTI2C3 | |
| Unconjugated | |
| NCAM1 | |
| CD56, MSK39, NCAM | |
| Mouse | |
| Affinity Chromatography | |
| RUO | |
| 4684 | |
| -20° C, Avoid Freeze/Thaw Cycles | |
| Liquid |
Product Content Correction
The Fisher Scientific Encompass Program offers items which are not part of our distribution portfolio. These products typically do not have pictures or detailed descriptions. However, we are committed to improving your shopping experience. Please use the form below to provide feedback related to the content on this product.
Product Title
Spot an opportunity for improvement?Share a Content Correction