Promotional price valid on web orders only. Your contract pricing may differ. Interested in signing up for a dedicated account number?
Learn More
Learn More
NFkB2/NFkB p100 Rabbit anti-Human, Mouse, Rat, Clone: 4K3V3, Novus Biologicals™

Rabbit Monoclonal Antibody
Supplier: Novus Biologicals NBP31580920UL
This item is not returnable.
View return policy
Description
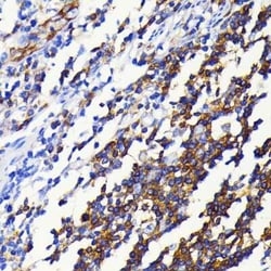
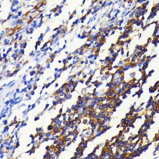
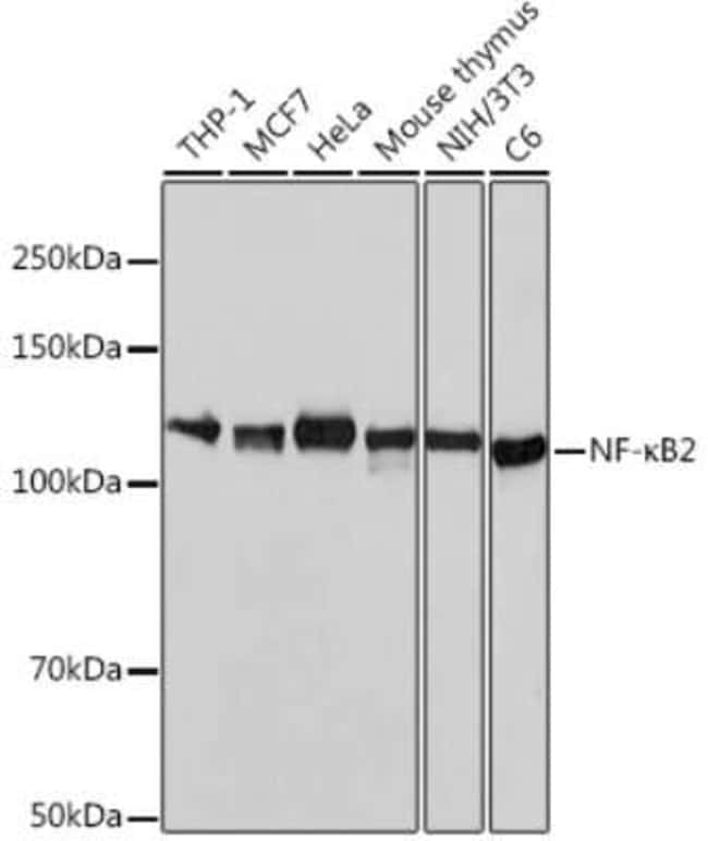
NFkB2/NFkB p100 Monoclonal antibody specifically detects NFkB2/NFkB p100 in Human, Mouse, Rat samples. It is validated for Western Blot, Immunohistochemistry, Immunohistochemistry (Paraffin)Specifications
| NFkB2/NFkB p100 | |
| Monoclonal | |
| Unconjugated | |
| PBS, 0.05% BSA, 50% glycerol, pH7.3 | |
| Recombinant fusion protein containing a sequence corresponding to amino acids 745-877 of human NFkB2/NFkB p100 (Q00653). | |
| 20 μg | |
| Apoptosis, B Cell Development and Differentiation Markers, Cancer, Cell Biology, Immunology, Signal Transduction | |
| 4791 | |
| Store at -20°C. Avoid freeze-thaw cycles. | |
| IgG |
| Western Blot, Immunohistochemistry, Immunohistochemistry (Paraffin) | |
| 4K3V3 | |
| Western Blot, Immunohistochemistry 1:50 - 1:200, Immunohistochemistry-Paraffin | |
| Rabbit | |
| Affinity purified | |
| RUO | |
| Primary | |
| Human, Mouse, Rat | |
| Purified |
Product Content Correction
Your input is important to us. Please complete this form to provide feedback related to the content on this product.
Product Title
Spot an opportunity for improvement?Share a Content Correction