Promotional price valid on web orders only. Your contract pricing may differ. Interested in signing up for a dedicated account number?
Learn More
Learn More
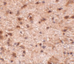
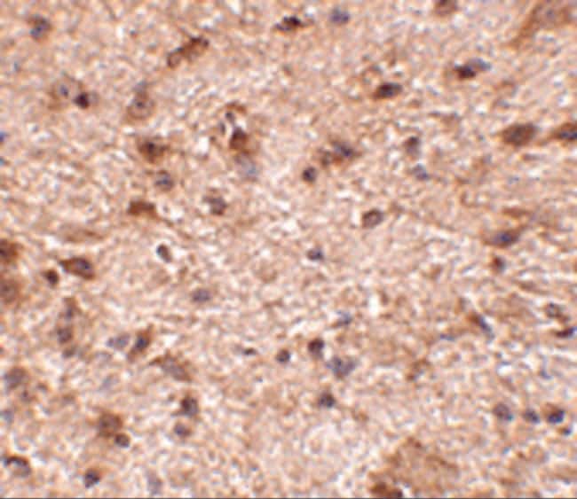
Invitrogen™ NIPSNAP3B Polyclonal Antibody

Rabbit Polyclonal Antibody
Supplier: Invitrogen™ PA520658
Description
A suggested positive control is mouse brain tissue lysate. PA5-20658 can be used with blocking peptide PEP-0778.
The NIPSNAP proteins comprise a family of evolutionarily well-conserved proteins with strong sequence similarity to the central portion of a protein encoded by C. elegans chromosome III between a 4-nitrophenylphosphatase (NIP) domain and non-neuronal SNAP25-like protein. NIPSNAP2, a novel gene encoding a protein with tyrosine phosphorylation sites and a transmembrane domain, is co-amplified with EGFR in approximately 40% of glioblastomas, the most common and malignant form of central nervous system tumors. While NIPSNAP3B is highly expressed skeletal muscle, NIPSNAP3A mRNA levels are low. NIPSNAP proteins have been suggested to be important in vesicular transport.
Specifications
| NIPSNAP3B | |
| Polyclonal | |
| Unconjugated | |
| NIPSNAP3B | |
| 2700063N13Rik; FP944; nipsnap homolog 3A; nipsnap homolog 3B; nipsnap homolog 3B (C. elegans); NIPSNAP3; Nipsnap3a; NIPSNAP3B; NIPSNAP-related protein; Protein NipSnap homolog 3A; protein NipSnap homolog 3B; SNAP1 | |
| Rabbit | |
| Antigen affinity chromatography | |
| RUO | |
| 55335, 66536 | |
| Maintain refrigerated at 2°C to 8°C for up to 3 months. For long term storage store at -20°C | |
| Liquid |
| Immunohistochemistry, Western Blot | |
| 1 mg/mL | |
| PBS with 0.02% sodium azide | |
| Q9BS92, Q9CQE1 | |
| NIPSNAP3B | |
| A 16 amino acid peptide near the center of human NIPSNAP3B. | |
| 100 μg | |
| Primary | |
| Human, Mouse | |
| Antibody | |
| IgG |
Safety and Handling
WARNING: Cancer - www.P65Warnings.ca.gov
Product Content Correction
Your input is important to us. Please complete this form to provide feedback related to the content on this product.
Product Title
Spot an opportunity for improvement?Share a Content Correction