Learn More
Description
Specifications
Specifications
| Antigen | NLRP3/NALP3 |
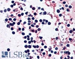
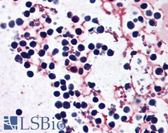
| Applications | Immunohistochemistry, Immunohistochemistry (Paraffin), ELISA |
| Classification | Polyclonal |
| Concentration | 0.50 mg/mL |
| Conjugate | Unconjugated |
| Dilution | Immunohistochemistry 5 μg/mL, Immunohistochemistry-Paraffin, Peptide ELISA Detection Limit 1:32000 |
| Formulation | Tris saline (20 mM Tris pH 7.3, 150 mM NaCl), 0.5% BSA with 0.02% Sodium Azide |
| Gene Accession No. | NP_004886.3, NP_899632.1, NP_001120933.1, NP_001120934.1 |
| Gene Alias | AII, AII/AVP, Angiotensin/vasopressin receptor AII/AVP-like, AVP, C1orf7, Caterpiller protein 1.1, CLR1.1, Cold autoinflammatory syndrome 1, Cold autoinflammatory syndrome 1 protein, Cryopyrin, Familial cold autoinflammatory syndrome, FCU, Leucine-rich repeat-, and PYD-containing protein 3, Muckle-Wells syndrome, MWS, NACHT, LRR and PYD containing protein 3, NACHT, LRR and PYD domains-containing protein 3, NALP3, NLR family, pyrin domain containing 3, NLRP3, Nucleotide-Binding Oligomerization Domain, Leucine Rich Repeat And Pyrin Domain Containing 3, PYPAF1, PYRIN-containing APAF1-like protein 1 |
| Gene Symbols | NLRP3 |
| Show More |
By clicking Submit, you acknowledge that you may be contacted by Fisher Scientific in regards to the feedback you have provided in this form. We will not share your information for any other purposes. All contact information provided shall also be maintained in accordance with our Privacy Policy.
