Promotional price valid on web orders only. Your contract pricing may differ. Interested in signing up for a dedicated account number?
Learn More
Learn More
NOD1 Antibody, Novus Biologicals™

Rabbit Polyclonal Antibody has been used in 3 publications
Supplier: Novus Biologicals NB10056152SS
Description
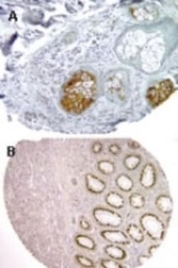
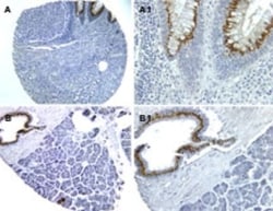
NOD1 Polyclonal specifically detects NOD1 in Human samples. It is validated for Western Blot, Immunohistochemistry, Immunocytochemistry/Immunofluorescence, Immunoprecipitation, Immunohistochemistry-Paraffin.Specifications
NOD1 | |
Polyclonal | |
Western Blot 1:1000-1:2000, Immunohistochemistry, Immunocytochemistry/Immunofluorescence, Immunoprecipitation 1:50-1:200, Immunohistochemistry-Paraffin 1:1000-1:5000 | |
CARD4NLR family, CARD domain containing 1, caspase recruitment domain family, member 4, Caspase recruitment domain-containing protein 4, CLR7.1, NLRC1, nucleotide-binding oligomerization domain containing 1, nucleotide-binding oligomerization domain, leucine rich repeat and CARD domaincontaining 1, nucleotide-binding oligomerization domain-containing protein 1 | |
Rabbit | |
Unpurified | |
RUO | |
Primary | |
NOD1 | |
Store at 4C short term. Aliquot and store at -20C long term. Avoid freeze-thaw cycles. | |
IgG |
Western Blot, Immunohistochemistry, Immunocytochemistry, Immunofluorescence, Immunoprecipitation, Immunohistochemistry (Paraffin) | |
Unconjugated | |
Whole antisera with 0.05% Sodium Azide | |
NOD1 | |
A synthetic peptide corresponding to amino acids 494-512 (QLGFLRALPELGPGGDQQS) of human Nod1/CARD4 was used as immunogen; GenBank no. gi 5174617 ref NP_006083.1 . | |
0.025 mL | |
Apoptosis, Asthma, Autophagy, Immunology | |
10392 | |
Human | |
Antisera |
Product Content Correction
Your input is important to us. Please complete this form to provide feedback related to the content on this product.
Product Title
For Research Use Only
Spot an opportunity for improvement?Share a Content Correction