Promotional price valid on web orders only. Your contract pricing may differ. Interested in signing up for a dedicated account number?
                
Learn More
Learn More
                                    Invitrogen™ NPC1 Polyclonal Antibody
                                    
                                    
                                    
                                    
                                
                            
                            
                            
                            
Rabbit Polyclonal Antibody
Supplier: Invitrogen™ PA520753
Description
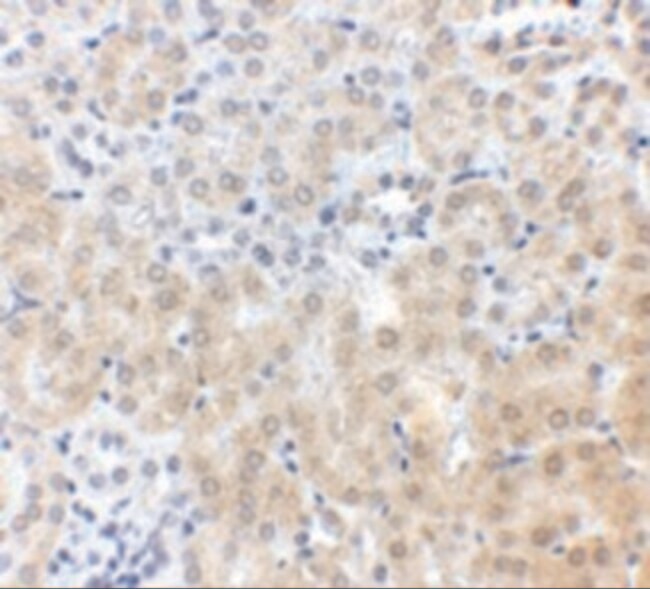
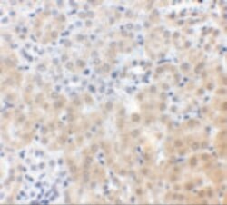
A suggested positive control is human kidney tissue lysate. PA5-20753 can be used with blocking peptide PEP-0867.
Mutations in the Niemann-Pick disease type C1 (NPC1) gene result in a fatal progressive neurodegenerative disorder characterized by an abnormal sequestration of lipids including cholesterol and glycosphingolipids. The NPC1 protein is a large protein that resides in the limiting membrane of endosomes and lysosomes and mediates intracellular cholesterol trafficking via binding of cholesterol to its N-terminal domain. NPC1 transports low-density lipoproteins to late endosomal/lysosomal compartments where they are hydrolyzed and released as free cholesterol. NPC1, in addition to FTO, MC4R, and PTER has recently been shown to be a new risk loci for early-onset and morbid adult obesity in European populations.
            Specifications
| NPC1 | |
| Polyclonal | |
| Unconjugated | |
| NPC1 | |
| A430089E03Rik; C85354; Cdig2; D18Ertd139e; D18Ertd723e; FLJ98532; I79_014078; lcsd; Niemann Pick type C1; Niemann-Pick C disease protein; niemann-Pick C1 protein; Niemann-Pick disease, type C1; Niemann-Pick type C1; Niemann-Pick type C1 protein; nmf164; NPC; NPC intracellular cholesterol transporter 1; NPC1; sphingomyelinosis; spm; truncated Niemann-Pick C1 | |
| Rabbit | |
| Antigen affinity chromatography | |
| RUO | |
| 18145, 4864 | |
| 4°C, do not freeze | |
| Liquid | 
| Immunohistochemistry, Western Blot, Immunocytochemistry | |
| 1 mg/mL | |
| PBS with 0.02% sodium azide | |
| O15118, O35604 | |
| NPC1 | |
| A 16 amino acid peptide from near the carboxy terminus of human NPC1. | |
| 100 μg | |
| Primary | |
| Human, Mouse | |
| Antibody | |
| IgG | 
                    Product Content Correction
                
                Your input is important to us. Please complete this form to provide feedback related to the content on this product.
Product Title
			
            Spot an opportunity for improvement?Share a Content Correction