Promotional price valid on web orders only. Your contract pricing may differ. Interested in signing up for a dedicated account number?
Learn More

Invitrogen™ NPEPPS Polyclonal Antibody

Rabbit Polyclonal Antibody

$209.50 - $511.50

Specifications

Antigen NPEPPS
Concentration 0.5 mg/mL
Content And Storage Store at 4°C short term. For long term storage, store at -20°C, avoiding freeze/thaw cycles.
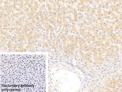
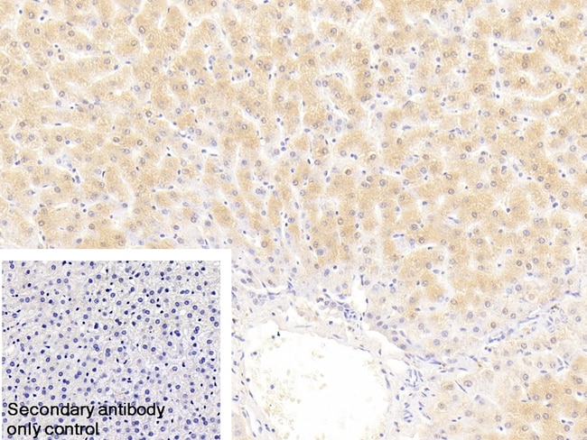
Applications Immunohistochemistry (Paraffin), Western Blot, Immunocytochemistry
Classification Polyclonal
View More Specs

Products 2
Catalog Number Mfr. No. Quantity Price Quantity & Availability  
Catalog Number Mfr. No. Quantity Price Quantity & Availability  
PIPA5119383
View Documents
Invitrogen™
PA5119383
200 μL
Each for $511.50
Only null left
Add to Cart
 
PIPA5121735
View Documents
Invitrogen™
PA5121735
20 μL
Each for $209.50
Only null left
Add to Cart
 
Description

Description

NPEPPS Polyclonal Antibody for Western Blot, ICC/IF, IHC (P)

This gene encodes the puromycin-sensitive aminopeptidase, a zinc metallopeptidase which hydrolyzes amino acids from the N-terminus of its substrate. The protein has been localized to both the cytoplasm and to cellular membranes. This enzyme degrades enkaphalins in the brain, and studies in mouse suggest that it is involved in proteolytic events regulating the cell cycle.
Specifications

Specifications

NPEPPS
Store at 4°C short term. For long term storage, store at -20°C, avoiding freeze/thaw cycles.
Polyclonal
Liquid
IgG
Human, Pig
NPEPPS
AAP-S; aminopeptidase puromycin sensitive; cytosol alanyl aminopeptidase; goku; metalloproteinase MP100; MP100; NPEPPS; Psa; Puromycin-sensitive aminopeptidase; R74825
NPEPPS
Primary
Antigen affinity chromatography, Protein A
0.5 mg/mL
Immunohistochemistry (Paraffin), Western Blot, Immunocytochemistry
Unconjugated
Rabbit
RUO
PBS with 50% glycerol and 0.05% ProClin 300; pH 7.4
P55786
414413, 9520
Recombinant protein Puromycin Sensitive Aminopeptidase. The antigen corresponds to amino acid range Gly584-Gln793 of the target protein.
Antibody
Videos
SDS
Documents

Documents

Product Certifications
Product Content Correction

Your input is important to us. Please complete this form to provide feedback related to the content on this product.

Product Title

By clicking Submit, you acknowledge that you may be contacted by Fisher Scientific in regards to the feedback you have provided in this form. We will not share your information for any other purposes. All contact information provided shall also be maintained in accordance with our Privacy Policy.

Your feedback has been submitted: Thank you for helping us improve our website.