Promotional price valid on web orders only. Your contract pricing may differ. Interested in signing up for a dedicated account number?
Learn More
Learn More
Nuclear Antigen Antibody (NM2984R) - Azide and BSA Free, Novus Biologicals™

Rabbit Monoclonal Antibody
Supplier: Novus Biologicals NBP308513
Description
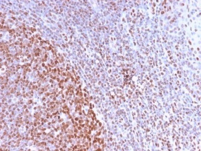
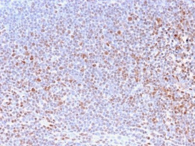
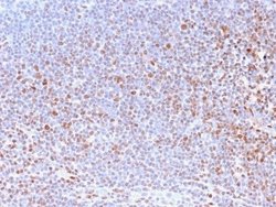
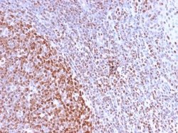
Nuclear Antigen Monoclonal specifically detects Nuclear Antigen in Human, Mouse, Rat samples. It is validated for Immunohistochemistry-Paraffin.Specifications
Nuclear Antigen | |
Monoclonal | |
1 mg/mL | |
Immunohistochemistry-Paraffin : 0.25-0.5 ug/mL | |
Rabbit | |
Protein A or G purified | |
RUO | |
Human, Mouse, Rat | |
Purified |
Immunohistochemistry (Paraffin) | |
NM2984R | |
Unconjugated | |
10mM PBS | |
Nuclei of HL60 cells | |
100 μg | |
Primary | |
Store at -20 to -80C. Avoid freeze-thaw cycles. | |
IgG |
Product Content Correction
Your input is important to us. Please complete this form to provide feedback related to the content on this product.
Product Title
Spot an opportunity for improvement?Share a Content Correction