Promotional price valid on web orders only. Your contract pricing may differ. Interested in signing up for a dedicated account number?
Learn More
Learn More
OPA1 Antibody (1284B) - Azide and BSA Free, Novus Biologicals™

Rabbit Monoclonal Antibody
Supplier: Novus Biologicals NBP280894
Description
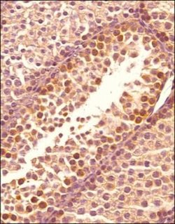
OPA1 Monoclonal specifically detects OPA1 in Human, Mouse, Rat samples. It is validated for Western Blot, Immunohistochemistry, Immunocytochemistry/Immunofluorescence, Immunohistochemistry-Paraffin.Specifications
| OPA1 | |
| Monoclonal | |
| 1 mg/mL | |
| Western Blot : 2 μg/mL, Immunohistochemistry : 1:1000, Immunocytochemistry/Immunofluorescence 5 μg/mL, Immunohistochemistry-Paraffin : 1:1000 | |
| FLJ12460, KIAA0567dynamin-like 120 kDa protein, mitochondrial, MGM1, mitochondrial dynamin-like GTPase, NPGlargeG, NTGmitochondrial dynamin-like 120 kDa protein, optic atrophy 1 (autosomal dominant), Optic atrophy protein 1 | |
| Rabbit | |
| Protein A or G purified | |
| RUO | |
| Primary | |
| Human, Mouse, Rat | |
| Purified |
| Western Blot, Immunohistochemistry, Immunofluorescence, Immunohistochemistry (Paraffin) | |
| 1284B | |
| Unconjugated | |
| PBS | |
| OPA1 | |
| A synthetic peptide made to an internal region within residues 500-600 of human OPA1. [Swiss-Prot# O60313] | |
| 0.1 mg | |
| Apoptosis, Mitochondrial Fusion Proteins, Mitochondrial Mediated Pathway, Neurodegeneration, Neuroscience, Sensory Systems, Vision | |
| 4976 | |
| Store at 4°C short term. Aliquot and store at -20°C long term. Avoid freeze-thaw cycles. | |
| IgG |
Product Content Correction
Your input is important to us. Please complete this form to provide feedback related to the content on this product.
Product Title
Spot an opportunity for improvement?Share a Content Correction