Promotional price valid on web orders only. Your contract pricing may differ. Interested in signing up for a dedicated account number?
Learn More
Learn More
Osteopontin/OPN Antibody, Novus Biologicals™

Rabbit Polyclonal Antibody has been used in 6 publications
Supplier: Novus Biologicals NB6001043
Description
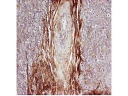
Osteopontin/OPN Polyclonal specifically detects Osteopontin/OPN in Human, Mouse samples. It is validated for Western Blot, ELISA, Immunohistochemistry, Immunocytochemistry/Immunofluorescence, Immunoprecipitation, Immunohistochemistry-Paraffin.Specifications
Osteopontin/OPN | |
Polyclonal | |
Western Blot 1:500-1:2000, ELISA 1:5000-1:20000, Immunohistochemistry 1:100-1:300, Immunocytochemistry/Immunofluorescence, Immunoprecipitation 1:100, Immunohistochemistry-Paraffin, N/A | |
p10451 | |
SPP1 | |
This whole rabbit serum was prepared by repeated immunizations with a synthetic peptide, from the human Osteopontin/OPN protein, conjugated to KLH using maleimide. (Uniprot: P10451) | |
Unpurified | |
RUO | |
Primary | |
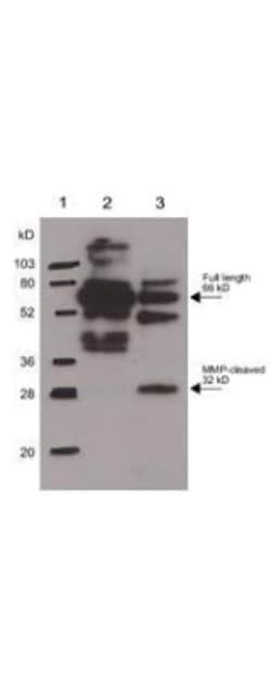
Osteopontin/OPN is directed against human osteopontin. The antibody recognizes the full-length osteopontin protein (which runs at 66 kDa on westerns), as well as the C-terminal fragments of both thrombin and MMP-cleaved OPN. The 32 kDa MMP-cleaved C-fragment is recognized, but not the 40 kDa N-terminal fragment. Reactivity is reported to occur with osteopontin from swine, dog, mouse and rat. | |
Store at -20°C short term. Aliquot and store at -80°C long term. Avoid freeze-thaw cycles. |
Western Blot, ELISA, Immunohistochemistry, Immunocytochemistry, Immunofluorescence, Immunoprecipitation, Immunohistochemistry (Paraffin) | |
Unconjugated | |
0.02 M Potassium Phosphate, 0.15 M Sodium Chloride, pH 7.2 with 0.01% Sodium Azide | |
BNSP, Bone sialoprotein 1, MGC110940, Nephropontin, osteopontin, secreted phosphoprotein 1bone sialoprotein I, early T-lymphocyteactivation 1), secreted phosphoprotein-1 (osteopontin, bone sialoprotein), SPP-1, SPP1/CALPHA1 fusion, Urinary stone protein, uropontin | |
Rabbit | |
35.42 kDa | |
0.2 mL | |
Cellular Markers | |
6696 | |
Human, Mouse, Rat, Pig, Canine | |
Antisera |
Product Content Correction
Your input is important to us. Please complete this form to provide feedback related to the content on this product.
Product Title
For Research Use Only
Spot an opportunity for improvement?Share a Content Correction