Promotional price valid on web orders only. Your contract pricing may differ. Interested in signing up for a dedicated account number?
Learn More
Learn More
P2Y1/P2RY1 Antibody, Novus Biologicals™

Rabbit Polyclonal Antibody
Supplier: Novus Biologicals NBP18243925UL
Description
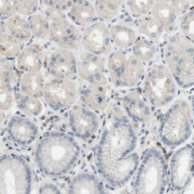
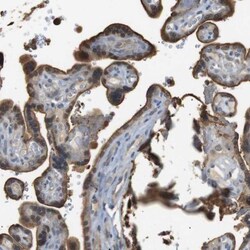
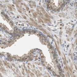
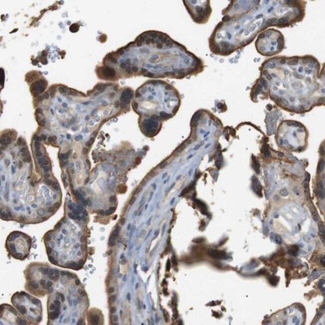
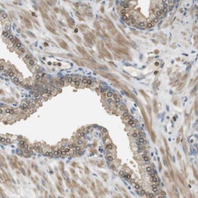
P2Y1/P2RY1 Polyclonal specifically detects P2Y1/P2RY1 in Human samples. It is validated for Immunohistochemistry, Immunohistochemistry-Paraffin.Specifications
P2Y1/P2RY1 | |
Polyclonal | |
Immunohistochemistry, Immunohistochemistry-Paraffin 1:50-1:200 | |
ATP receptor, P2 purinoceptor subtype Y1, P2Y purinoceptor 1, P2Y1platelet ADP receptor, Purinergic receptor, purinergic receptor P2Y, G-protein coupled, 1 | |
Rabbit | |
Affinity Purified | |
RUO | |
Primary | |
Specificity of antibody verified on a Protein Array containing target protein plus 383 other non-specific proteins. | |
Store at 4C short term. Aliquot and store at -20C long term. Avoid freeze-thaw cycles. |
Immunohistochemistry, Immunohistochemistry (Paraffin) | |
Unconjugated | |
PBS (pH 7.2) and 40% Glycerol with 0.02% Sodium Azide | |
P2RY1 | |
This antibody was developed against Recombinant Protein corresponding to amino acids:MKTMNLRARLDFQTPAMCAFNDRVYATYQVTRGLASLNSCVDPILYFLAGDTFRRRLSRATRKASRRSEANLQSKSEDMTLNILPEFKQNGDT | |
25 μL | |
Apoptosis, Cytokine Research, GPCR, Plasma Membrane Markers | |
5028 | |
Human | |
IgG |
Product Content Correction
Your input is important to us. Please complete this form to provide feedback related to the content on this product.
Product Title
For Research Use Only
Spot an opportunity for improvement?Share a Content Correction