Promotional price valid on web orders only. Your contract pricing may differ. Interested in signing up for a dedicated account number?
Learn More
Learn More
PAK1, p Ser204 Antibody, Novus Biologicals™

Rabbit Polyclonal Antibody
Supplier: Novus Biologicals NBP229665
Description
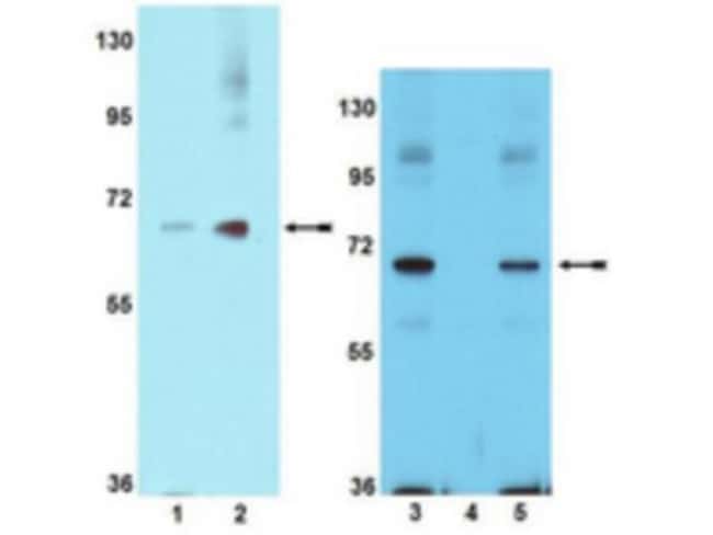
PAK1 Polyclonal specifically detects PAK1 in Human samples. It is validated for Western Blot.Specifications
| PAK1 (p Ser204) | |
| Polyclonal | |
| Unconjugated | |
| PBS and 50% Glycerol with 0.05% Sodium Azide | |
| alpha-PAK, EC 2.7.11, EC 2.7.11.1, MGC130000, MGC130001, p21 protein (Cdc42/Rac)-activated kinase 1, p21/Cdc42/Rac1-activated kinase 1 (STE20 homolog, yeast), p21/Cdc42/Rac1-activated kinase 1 (yeast Ste20-related), p21-activated kinase 1, p65-PAK, PAK-1, PAKalpha, serine/threonine-protein kinase PAK 1, STE20 homolog, yeast | |
| Rabbit | |
| 65 kDa | |
| 0.1 mL | |
| Apoptosis, Breast Cancer, Cancer, Neuroscience, Phospho Specific, Signal Transduction | |
| 5058 | |
| Human | |
| IgG |
| Western Blot | |
| 1 mg/mL | |
| Western Blot 1:100-1:2000 | |
| Q13153 | |
| PAK1 | |
| Amino Acids encompassing and including phosphorylated Ser199 and Ser204 of human PAK1. Sequence is highly homologous (greater than 90%) to PAK2 and PAK3. | |
| Affinity Purified | |
| RUO | |
| Primary | |
| Recognizes PAK1 phosphorylated on Ser199 and Ser204 (human)/Ser198 and Ser203 (mouse). Immunogen sequence is higly homolgous (greater than 90%) with PAK2 and PAK3. | |
| Aliquot and store at -20C or -80C. Avoid freeze-thaw cycles. |
Product Content Correction
Your input is important to us. Please complete this form to provide feedback related to the content on this product.
Product Title
For Research Use Only
Spot an opportunity for improvement?Share a Content Correction