Promotional price valid on web orders only. Your contract pricing may differ. Interested in signing up for a dedicated account number?
Learn More
Learn More
PAK3 Rabbit anti-Human, Mouse, Rat, Clone: 0K1I5, Novus Biologicals™

Rabbit Monoclonal Antibody
Supplier: Novus Biologicals NBP316173100UL
Description
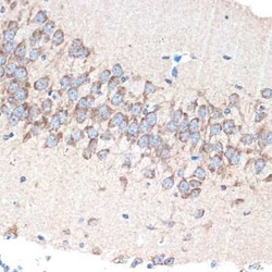
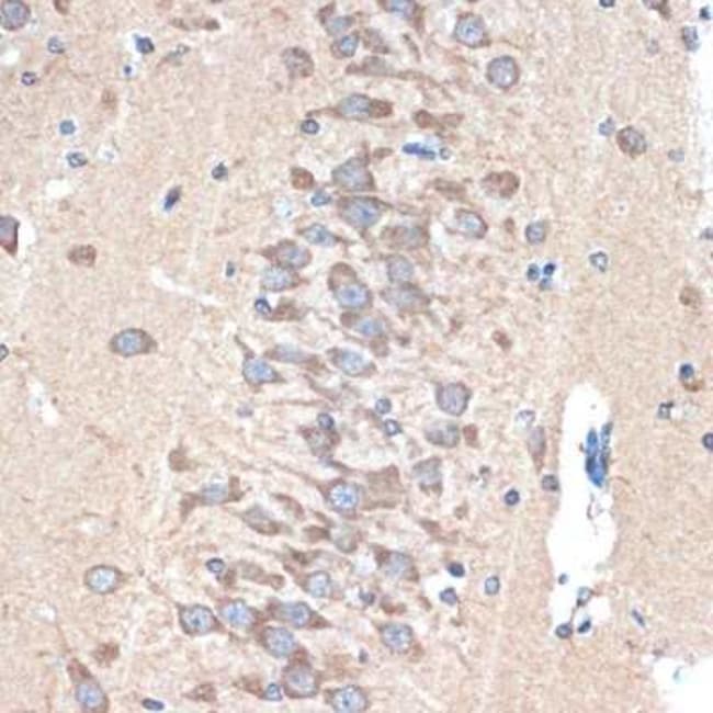
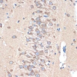
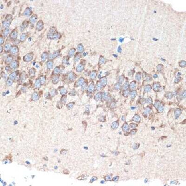
PAK3 Monoclonal antibody specifically detects PAK3 in Human, Mouse, Rat samples. It is validated for Western Blot, Immunohistochemistry, Immunohistochemistry (Paraffin)Specifications
PAK3 | |
Monoclonal | |
Unconjugated | |
PBS, 0.05% BSA, 50% glycerol, pH7.3 | |
Rabbit | |
Affinity purified | |
RUO | |
Primary | |
Human, Mouse, Rat | |
Purified |
Western Blot, Immunohistochemistry, Immunohistochemistry (Paraffin) | |
0K1I5 | |
Western Blot, Immunohistochemistry 1:50 - 1:200, Immunohistochemistry-Paraffin | |
beta-PAK, bPAK, CDKN1A, EC 2.7.11, EC 2.7.11.1, hPAK3, mental retardation, X-linked 47, MRX30, MRX47, Oligophrenin-3, OPHN3, p21 (CDKN1A)-activated kinase 3, p21 protein (Cdc42/Rac)-activated kinase 3, p21-activated kinase 3, PAK-3, PAK3beta, serine/threonine-protein kinase PAK 3 | |
A synthetic peptide corresponding to a sequence within amino acids 1-100 of human PAK3 (O75914). | |
100 μg | |
Protein Kinase | |
5063 | |
Store at -20°C. Avoid freeze-thaw cycles. | |
IgG |
Product Content Correction
Your input is important to us. Please complete this form to provide feedback related to the content on this product.
Product Title
Spot an opportunity for improvement?Share a Content Correction