Promotional price valid on web orders only. Your contract pricing may differ. Interested in signing up for a dedicated account number?
Learn More
Learn More
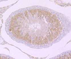
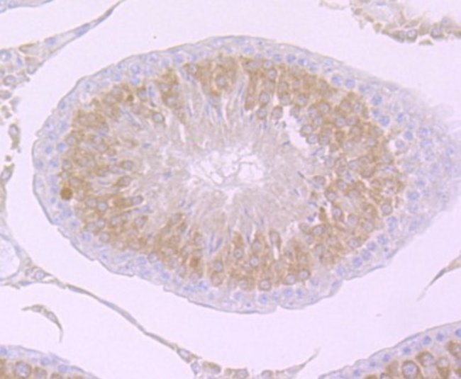
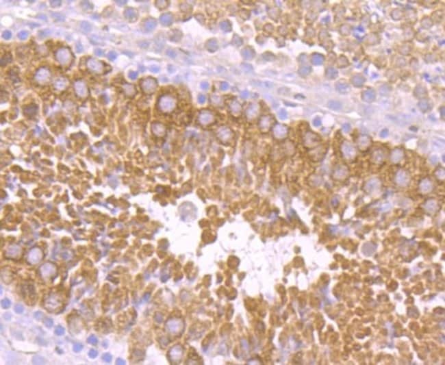
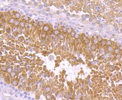
PIWIL1/HIWI Rabbit anti-Human, Mouse, Rat, Clone: JU35-12, Novus Biologicals™

Rabbit Monoclonal Antibody
Supplier: Novus Biologicals NBP275619
Description
PIWIL1/HIWI Monoclonal specifically detects PIWIL1/HIWI in Human, Mouse, Rat samples. It is validated for Western Blot, Immunohistochemistry, Immunohistochemistry-Paraffin.Specifications
| PIWIL1/HIWI | |
| Monoclonal | |
| 1 mg/mL | |
| Western Blot 1:100-1:2000, Immunohistochemistry 1:50-1:200, Immunohistochemistry-Paraffin 1:50-1:200 | |
| HIWIpiwi homolog, MIWI, PIWI, piwi (Drosophila)-like 1, piwi-like 1 (Drosophila), piwi-like protein 1 | |
| Rabbit | |
| 98 kDa | |
| 100 μL | |
| 9271.0 | |
| Store at 4°C short term. Aliquot and store at -20°C long term. Avoid freeze-thaw cycles. | |
| IgG |
| Western Blot, Immunohistochemistry, Immunohistochemistry (Paraffin) | |
| JU35-12 | |
| Unconjugated | |
| TBS (pH7.4), 0.05% BSA, 40% Glycerol with 0.05% Sodium Azide | |
| PIWIL1 | |
| Recombinant protein within Human PIWIL1/HIWI aa 733-831 . (SwissProt: Q96J94 Human; SwissProt: Q9JMB7 Mouse) | |
| Protein A purified | |
| Primary | |
| Human, Mouse, Rat | |
| Purified |
Product Content Correction
Your input is important to us. Please complete this form to provide feedback related to the content on this product.
Product Title
Spot an opportunity for improvement?Share a Content Correction