Promotional price valid on web orders only. Your contract pricing may differ. Interested in signing up for a dedicated account number?
Learn More
Learn More
Progesterone R/NR3C3 Antibody (PR484), Novus Biologicals™

Mouse Monoclonal Antibody
Supplier: Novus Biologicals NBP2333240.2MG
Description
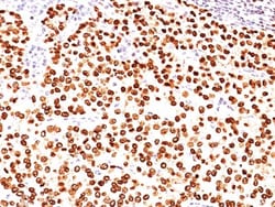
Progesterone R/NR3C3 Monoclonal antibody specifically detects Progesterone R/NR3C3 in Human samples. It is validated for Western Blot, Simple Western, Immunohistochemistry-Paraffin, SDS-Page.Specifications
Progesterone R/NR3C3 | |
Monoclonal | |
0.2mg/mL | |
Western Blot 0.5-1ug/ml, Simple Western 10 ug/ml, Immunohistochemistry-Paraffin 0.5-1ug/ml, SDS-Page | |
NR3C3PRNuclear receptor subfamily 3 group C member 3, progesterone receptor | |
Mouse | |
Protein G purified | |
RUO | |
Primary | |
This MAb is specific to progesterone receptor and shows minimal cross-reaction with other members of the family. Progesterone receptor is expressed as two major isoforms, PR-A (81kDa) and PR-B (116kDa). Expression of PgR has been suggested to reflect a intact estrogen regulatory machinery and therefore, predict better clinical response to endocrine therapy than ER alone. It is excellent for immunohistochemical staining of formalin/paraffin tissues. | |
Store at 4C. | |
IgG1 κ |
Western Blot, Immunohistochemistry (Paraffin), SDS-Page | |
PR484 | |
Unconjugated | |
PBS with 0.05% BSA. with 0.05% Sodium Azide | |
PGR | |
A progesterone receptor recombinant protein was used as the immunogen for the antibody. The specific epitope has not been mapped. | |
0.2 mg | |
Breast Cancer, Cancer | |
5241 | |
Human | |
Purified |
Product Content Correction
Your input is important to us. Please complete this form to provide feedback related to the content on this product.
Product Title
For Research Use Only
Spot an opportunity for improvement?Share a Content Correction