Learn More
Invitrogen™ PU.1 Recombinant Rabbit Monoclonal Antibody (JB72-35)

Description
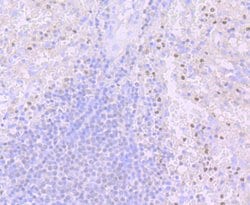
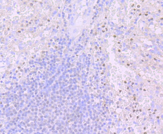
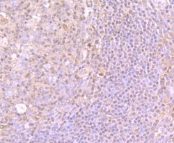
Positive Control: Human tonsil tissue, human spleen tissue, K562, THP-1.
Specifications
Specifications
| Antigen | PU.1 |
| Applications | Flow Cytometry, Immunohistochemistry (Paraffin), Western Blot |
| Classification | Recombinant Monoclonal |
| Clone | JB72-35 |
| Concentration | 1 mg/mL |
| Conjugate | Unconjugated |
| Formulation | TBS with 0.05% BSA, 40% glycerol and 0.05% sodium azide; pH 7.4 |
| Gene | SPI1 |
| Gene Accession No. | P17947 |
| Gene Alias | 31 kDa transforming protein; 31 kDa-transforming protein; 31kDa Transforming Protein; Dis1; Dis-1; hCG_25181; hematopoietic transcription factor PU.1; OF; Pu.1; SFFV proviral integration 1; SFFV proviral integration 1 protein; Sfpi1; Sfpi-1; Spi1; SPI-1; Spi-1 proto-oncogene; SPIA; SPI-A; spleen focus forming virus (SFFV) proviral integration oncogene; spleen focus forming virus (SFFV) proviral integration oncogene spi1; spleen focus forming virus proviral integration oncogene spi1; Tcfpu1; Tfpu.1; Transcription factor PU.1; Transcription Factor spi1 |
| Show More |
By clicking Submit, you acknowledge that you may be contacted by Fisher Scientific in regards to the feedback you have provided in this form. We will not share your information for any other purposes. All contact information provided shall also be maintained in accordance with our Privacy Policy.