Promotional price valid on web orders only. Your contract pricing may differ. Interested in signing up for a dedicated account number?
Learn More
Learn More
RAI16 Rabbit anti-Human, Mouse, Rat, Polyclonal, Novus Biologicals™

Rabbit Polyclonal Antibody
Supplier: Novus Biologicals NBP315604100UL
This item is not returnable.
View return policy
Description
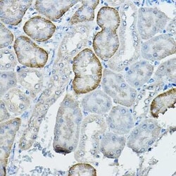
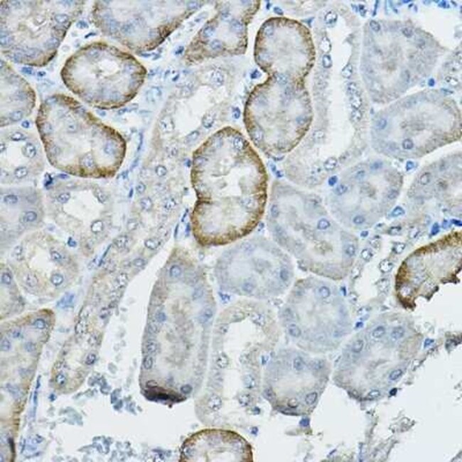
RAI16 Polyclonal antibody specifically detects RAI16 in Human, Mouse, Rat samples. It is validated for Western Blot, Immunohistochemistry, Immunofluorescence, Immunoprecipitation, Immunohistochemistry (Paraffin)Specifications
| RAI16 | |
| Polyclonal | |
| Western Blot, Immunohistochemistry 1:50 - 1:200, Immunocytochemistry/Immunofluorescence, Immunoprecipitation, Immunohistochemistry-Paraffin | |
| family with sequence similarity 160, member B2, FLJ11125, FLJ21801, MGC138352, RAI16, retinoic acid induced 16, Retinoic acid-induced protein 16 | |
| Recombinant fusion protein containing a sequence corresponding to amino acids 74-303 of mouse RAI16 (NP_919326.1). | |
| 100 μg | |
| Cell Biology | |
| 64760 | |
| Store at -20°C. Avoid freeze-thaw cycles. | |
| IgG |
| Western Blot, Immunohistochemistry, Immunofluorescence, Immunoprecipitation, Immunohistochemistry (Paraffin) | |
| Unconjugated | |
| PBS, 50% glycerol, pH7.3 | |
| Rabbit | |
| Affinity purified | |
| RUO | |
| Primary | |
| Human, Mouse, Rat | |
| Purified |
Product Content Correction
Your input is important to us. Please complete this form to provide feedback related to the content on this product.
Product Title
Spot an opportunity for improvement?Share a Content Correction