Promotional price valid on web orders only. Your contract pricing may differ. Interested in signing up for a dedicated account number?
Learn More
Learn More
RISC Antibody, Novus Biologicals™

Rabbit Polyclonal Antibody
Supplier: Novus Biologicals NBP24925025UL
Description
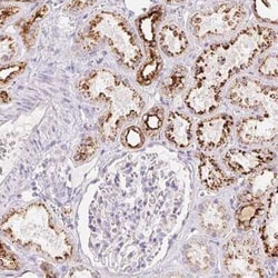
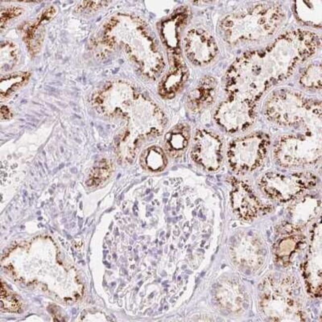
RISC Polyclonal antibody specifically detects RISC in Human samples. It is validated for Immunohistochemistry, Immunohistochemistry (Paraffin)Specifications
RISC | |
Polyclonal | |
Immunohistochemistry 1:50 - 1:200, Immunohistochemistry-Paraffin 1:50 - 1:200 | |
EC 3.4.16, HSCP1, retinoid inducible serine carboxypeptidase, retinoid-inducible serine carboxypeptidase, RISCEC 3.4.16.-, SCP1, serine carboxypeptidase 1serine carboxypeptidase 1 precursor protein | |
This antibody was developed against a recombinant protein corresponding to amino acids: GTGFSYVNGSGAYAKDLAMVASDMMVLLKTFFSCHKEFQTVPFYIFSESYGGKMAAGIGLELYKAIQRGTIKC | |
25 μL | |
Primary | |
Human | |
Purified |
Immunohistochemistry, Immunohistochemistry (Paraffin) | |
Unconjugated | |
PBS (pH 7.2), 40% Glycerol | |
Rabbit | |
Immunogen affinity purified | |
RUO | |
59342 | |
Store at 4°C short term. Aliquot and store at -20°C long term. Avoid freeze-thaw cycles. | |
IgG |
Product Content Correction
Your input is important to us. Please complete this form to provide feedback related to the content on this product.
Product Title
Spot an opportunity for improvement?Share a Content Correction