Learn More
Invitrogen™ SAA Monoclonal Antibody (C4)

Description
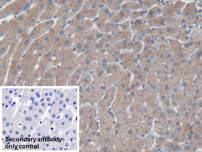
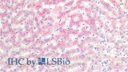
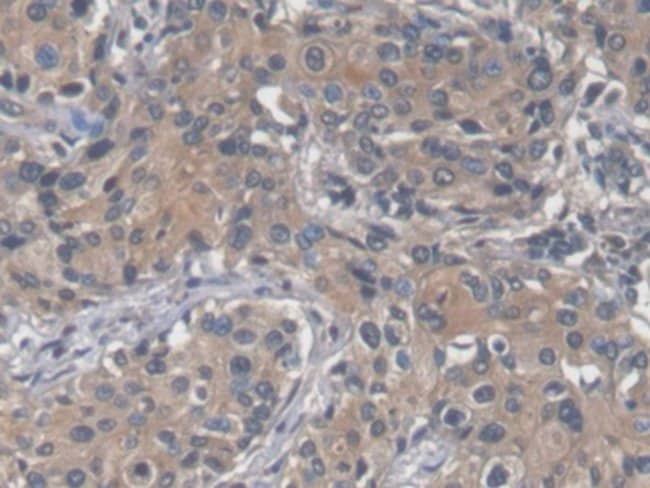
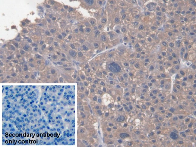
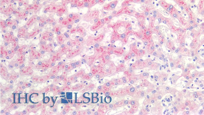
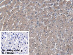
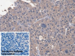
SAA Monoclonal Antibody for Western Blot, IHC (P)
Specifications
Specifications
| Antigen | SAA |
| Applications | Immunohistochemistry (Paraffin), Western Blot, Western Blot |
| Classification | Monoclonal |
| Clone | C4 |
| Concentration | 1 mg/mL |
| Conjugate | Unconjugated |
| Formulation | PBS with 50% glycerol and 0.05% ProClin 300; pH 7.4 |
| Gene | SAA1 |
| Gene Accession No. | P0DJI8 |
| Gene Alias | amyloid a; Amyloid fibril protein AA; Amyloid protein A; MGC111216; PIG4; SAA; SAA1; Saa-1; Saa2; serum amyloid A; serum amyloid A 1; serum amyloid A 2; serum amyloid A protein; serum amyloid A1; Serum amyloid A1 protein; Serum amyloid A-1 protein; serum amyloid A-like protein; Serum amyloid protein A(2-102); Serum amyloid protein A(2-103); Serum amyloid protein A(2-104); Serum amyloid protein A(3-104); Serum amyloid protein A(4-101); Serum Amyloid-A; TP53I4; tumor protein p53 inducible protein 4 |
| Show More |
By clicking Submit, you acknowledge that you may be contacted by Fisher Scientific in regards to the feedback you have provided in this form. We will not share your information for any other purposes. All contact information provided shall also be maintained in accordance with our Privacy Policy.