Learn More
Description
Specifications
Specifications
| Antigen | sFRP-1 |
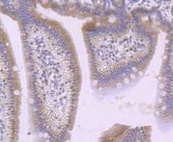
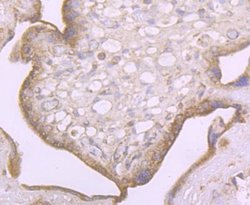
| Applications | Western Blot, Flow Cytometry, Immunohistochemistry, Immunofluorescence, Immunohistochemistry (Paraffin) |
| Classification | Polyclonal |
| Concentration | 1 mg/ml |
| Conjugate | Unconjugated |
| Dilution | Western Blot 1:500-1:1000, Flow Cytometry 1:50-1:100, Immunohistochemistry 1:50-1:200, Immunocytochemistry/Immunofluorescence 1:100-1:500, Immunohistochemistry-Paraffin |
| Formulation | PBS (pH7.4), 0.2% BSA, 50% Glycerol with 0.05% Sodium Azide |
| Gene Alias | FRP1, FRP-1FrzA, FRPSARP-2, SARP2sFRP-1, Secreted apoptosis-related protein 2, secreted frizzled-related protein 1 |
| Host Species | Rabbit |
| Immunogen | Synthetic peptide within N-terminal human sFRP-1. (SwissProt: Q8N474 Human; SwissProt: Q8C4U3 Mouse; SwissProt: Q9R168 Rat) |
| Show More |
By clicking Submit, you acknowledge that you may be contacted by Fisher Scientific in regards to the feedback you have provided in this form. We will not share your information for any other purposes. All contact information provided shall also be maintained in accordance with our Privacy Policy.
