Promotional price valid on web orders only. Your contract pricing may differ. Interested in signing up for a dedicated account number?
Learn More
Learn More
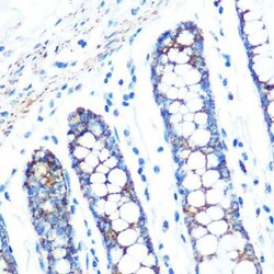
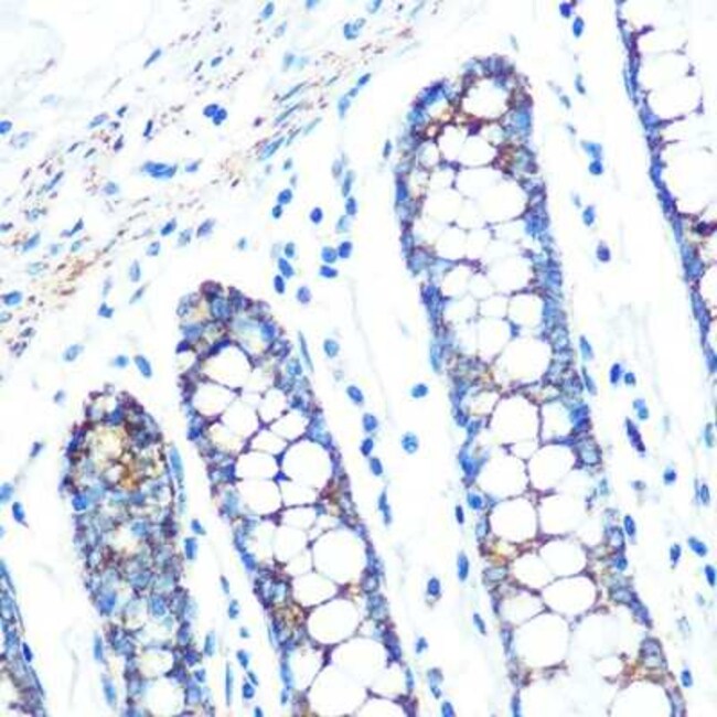
sFRP-4 Rabbit anti-Human, Mouse, Rat, Clone: 7Z6Q1, Novus Biologicals™

Rabbit Monoclonal Antibody
Supplier: Novus Biologicals NBP31635220UL
Description
sFRP-4 Monoclonal antibody specifically detects sFRP-4 in Human, Mouse, Rat samples. It is validated for Western Blot, Immunohistochemistry, Immunofluorescence, Immunohistochemistry (Paraffin)Specifications
sFRP-4 | |
Monoclonal | |
Unconjugated | |
PBS, 0.05% BSA, 50% glycerol, pH7.3 | |
Rabbit | |
Affinity purified | |
RUO | |
Primary | |
Human, Mouse, Rat | |
Purified |
Western Blot, Immunohistochemistry, Immunofluorescence, Immunohistochemistry (Paraffin) | |
7Z6Q1 | |
Western Blot, Immunohistochemistry 1:50 - 1:200, Immunocytochemistry/Immunofluorescence, Immunohistochemistry-Paraffin | |
Frizzled protein, human endometrium, FRP-4, frpHE, FRPHEMGC26498, secreted frizzled-related protein 4, secreted frizzled-related protein 4; secreted frizzled-related protein 4, sFRP-4 | |
Recombinant fusion protein containing a sequence corresponding to amino acids 201-300 of human sFRP-4 (Q6FHJ7). | |
20 μg | |
Growth and Development, Neuronal Cell Markers, Wnt Signaling Pathway | |
6424 | |
Store at -20°C. Avoid freeze-thaw cycles. | |
IgG |
Product Content Correction
Your input is important to us. Please complete this form to provide feedback related to the content on this product.
Product Title
Spot an opportunity for improvement?Share a Content Correction