Promotional price valid on web orders only. Your contract pricing may differ. Interested in signing up for a dedicated account number?
Learn More
Learn More
Siglec-2/CD22 Antibody (2H1C4) - BSA Free, Novus Biologicals™

Mouse Monoclonal Antibody
Supplier: Novus Biologicals NBP237327
Description
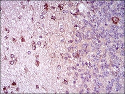
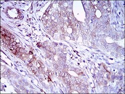
Siglec-2/CD22 Monoclonal specifically detects Siglec-2/CD22 in Human samples. It is validated for Western Blot, Flow Cytometry, ELISA, Immunohistochemistry, Immunocytochemistry/Immunofluorescence, Immunohistochemistry-Paraffin.Specifications
Siglec-2/CD22 | |
Monoclonal | |
1 mg/mL | |
Western Blot 1:500-1:2000, Flow Cytometry 1:200 - 1:400, ELISA 1:10000, Immunohistochemistry 1:200 - 1:1000, Immunocytochemistry/Immunofluorescence 1:200 - 1:1000, Immunohistochemistry-Paraffin | |
B-cell receptor CD22, BL-CAM, B-lymphocyte cell adhesion molecule, CD22 antigenMGC130020, CD22 molecule, sialic acid binding Ig-like lectin 2, Sialic acid-binding Ig-like lectin 2, SIGLEC-2, SIGLEC2FLJ22814, T-cell surface antigen Leu-14 | |
Mouse | |
95.3 kDa | |
0.1 mL | |
Adaptive Immunity, DNA Repair, Immunology | |
933 | |
Store at 4C short term. Aliquot and store at -20C long term. Avoid freeze-thaw cycles. |
Western Blot, Flow Cytometry, ELISA, Immunohistochemistry, Immunocytochemistry, Immunofluorescence, Immunohistochemistry (Paraffin) | |
2H1C4 | |
Unconjugated | |
PBS with 0.05% Sodium Azide | |
CD22 | |
Purified recombinant fragment of human CD22 (AA: 621-725) expressed in E. Coli. | |
Affinity Purified | |
RUO | |
Primary | |
Human | |
IgG1 |
Product Content Correction
Your input is important to us. Please complete this form to provide feedback related to the content on this product.
Product Title
For Research Use Only
Spot an opportunity for improvement?Share a Content Correction