Promotional price valid on web orders only. Your contract pricing may differ. Interested in signing up for a dedicated account number?
Learn More
Learn More
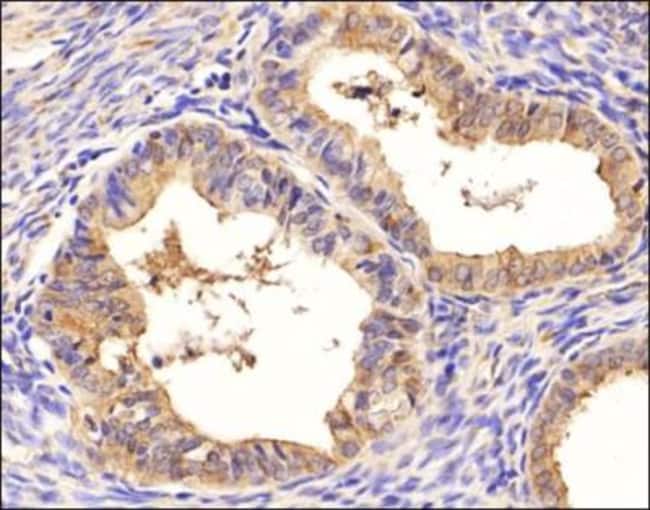
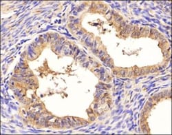
SM047 Antibody (SM047), Novus Biologicals™

Mouse Monoclonal Antibody has been used in 1 publication
Supplier: Novus Biologicals NBP197921SS
Description
SM047 Monoclonal specifically detects SM047 in Human samples. It is validated for Western Blot, Immunohistochemistry, Immunocytochemistry/Immunofluorescence, Immunoprecipitation, Immunohistochemistry-Paraffin.Specifications
SM047 | |
Monoclonal | |
Unconjugated | |
Ascites with 0.1% Sodium Azide | |
Mouse | |
Unpurified | |
RUO | |
Primary | |
Human | |
Ascites |
Western Blot, Immunohistochemistry, Immunocytochemistry, Immunofluorescence, Immunoprecipitation, Immunohistochemistry (Paraffin) | |
SM047 | |
Western Blot 1:1000-1:5000, Immunohistochemistry 1:100-1:1000, Immunocytochemistry/Immunofluorescence 1:100-1:1000, Immunoprecipitation 1:10-1:100, Immunohistochemistry-Paraffin 1:100-1:1000 | |
anti-SMO47 | |
Cell membranes from human ovarian serous cystadenocarcinmoma and cells from human ovarian cancer cell line UWOV1. | |
0.025 mL | |
Cancer, Ovarian Carcinoma Cell Markers | |
Glycocalyx of human ovarian carcinoma cells. | |
Aliquot and store at -20C or -80C. Avoid freeze-thaw cycles. | |
IgM |
Product Content Correction
Your input is important to us. Please complete this form to provide feedback related to the content on this product.
Product Title
For Research Use Only
Spot an opportunity for improvement?Share a Content Correction